——肿瘤/胸外科
随着人们生活水平的提高,越来越多的人参加健康体检。经常会有朋友被医生告知肺里发现有一个“阴影”或“小结节”。听到这样的消息,很多人会惊慌失措,顿时感觉心头被蒙上了一层阴影,茶饭不思、夜不能寐,对日常工作、学习造成很大影响。那么应该怎么正确对待肺部结节呢?
1.什么是肺结节?
指的是病灶的大小,而不是病灶的性质。检查中发现类圆形的直径小于3cm的病灶通常描述为结节灶,当直径小于1cm时常被描述为“小结节”,而直径小于0.5cm时就被称为微小或细小结节。肺内结节或小结节分为良性、恶性两种。
2.为什么有肺部结节的人会那么多?
肺部结节增多原因主要是由于检出率越来越高,过去肺部体检主要是拍X光片,但X片对于小于1厘米的结节难以发现。现在由于胸部CT的普及,2毫米以上的结节都能被发现,所以检出率就高了。同时,由于雾霾等空气污染的影响,肺部结节的发生率也有所上升。
3.哪些肺部结节恶性可能性大?
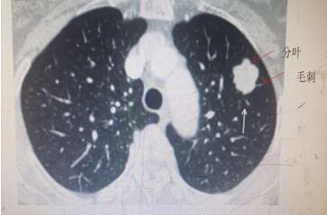
肺内结节,不容忽视,但也不必惊慌。肺部小结节并非一定就是肺癌,恶性肿瘤远少于良性病变。一般根据结节大小、形态并结合你的年龄与吸烟状况来分析。通常以下情况肺癌的可能性大:年龄在55岁以上;有慢性肺部疾病史和家族史的患者;肺部小结节直径>1厘米;边缘有毛刺和分叶;内部密度不均匀表现为实性结节或者混杂性结节。需要注意的是,有吸烟史的人,是肺癌的高危人群,年数乘以每天吸烟的支数>400支/年的吸烟患者患肺癌的几率会明显增高。
4.发现肺部结节怎么办?
如果体检发现肺部有小结节,先不要担心,它不一定是癌;即使是癌,也不必恐慌,因为大多是极其早期的癌症,只要通过及时恰当的治疗,是完全可以痊愈的。大多数考虑良性病变的肺结节只需要定期复查胸部CT,观察结节变化情况。而高度考虑恶性的结节则需要手术切除。所以在广大患者发现肺结节时及时看医生是非常必要的。
5.微创治疗肺部结节
目前微创胸腔镜手术是治疗肺部小结节、早期肺癌的主要方法。微创胸腔镜手术应用广泛,行肺叶或肺段切除术,具有以下优点:1.手术创伤小,患者痛苦少,早期可进行功能锻炼。 2.术后恢复快,住院时间短,一般术后3-5日可出院。3.美观、伤口小,大多数患者乐于接受。4.术后对肺功能损害小,对于术前肺功能较差患者有极大帮助,也因此扩大手术适应症,对老年患者更安全。
传统手术及胸腔镜手术对比
我院肿瘤胸外科在诊治肺结节上积累了大量临床经验,由专业医师指导患者治疗,根据不同患者的病情制定个性化诊疗方案,对越来越多的患者提供了更好的选择。同时与国内外顶尖诊疗技术接轨,在早期癌的诊疗技术上有更大提高,因此也挽救了无数家庭。
门诊地址:延安大学咸阳医院外科病院1楼东侧
科室地址:延安大学咸阳医院外科病院16楼
科室电话:029-33783377
苗满园 主任:13609109358
李伟 副主任:13572760118
专家介绍:
科室介绍:


