办公室 刘 欢
超声科的医生常常戏称自己为超人,这些超人总是一间黑屋,表情严肃,拿着一个探头,对着一台仪器,在病人身上涂着一层滑溜溜,粘乎乎的,不知道是什么的东东….这应该就是大部分人对超声科医生的印象。
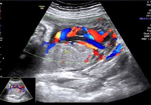
2017年7月10日上午就是在这间小黑屋里,一名34周孕妇正在进行产科常规超声检查,当探查到胎盘时,朱新娟医师一脸凝重,她发现了异常!经科主任吴建军、副主任医师赵莹会诊,发现该孕妇腹中胎儿脐带走形异常、并异常插入胎盘,沿胎膜走行约5.2cm后才进入胎盘实质,且血管聚集成堆于宫颈内口处,考虑脐带帆状插入胎盘并血管前置。此现象是非常少见的产科急症!极易造成血管断裂!大出血!造成胎儿死亡!而这一切,产妇和家属却全然不知。情况紧急,朱新娟立即电话报告产科危急值!

声像图示:脐带帆状插入胎盘并血管前置
产科接到危急值报告后,即刻将该孕妇收治入院,给予密切监护、治疗,并于7月20日上午9:40,为该孕妇行剖宫产,娩出一名2000g女婴,母女平安!数十分钟后胎盘娩出,确系少见的脐带帆状插入胎盘并血管前置!产科马主任激动地拉着吴主任的手说:“你们超声医生太棒啦!你们就是我们产科医生的眼睛!不但救了这对母女,也‘救’了我们产科医生啊!”
有人认为超声科医生的工作没有技术含量,认为检查的结果,是仪器自动给出的。然而,超声的每一幅图像,都是靠超声医生亲自探查并采集的,每一个患者至少都有10张以上的图像存储,对于比较复杂的病例,有几十甚至上百张。这些都需要超声医生在边探查的时候,边思考,边分析,这是一个真正手脑并用的工作。
正所谓一分耕耘一分收获!近年来,延安大学咸阳医院超声科在吴建军主任的带领下,注重医疗质量,注重业务学习,经常利用双休日外出学习交流,特别是妇产科方面,科主任多次对异常胎盘、瘢痕妊娠等疑难重症向全科医生进行培训,并规范报告模板,诊断水平不断提高,协助临床诊断,解决了多个疑难、危急病例,使患者转危为安,受到临床的认可和称赞。
平安永驻是超人们对患者诚挚的祝福,大医精诚是超人们对自己严格的要求!如今,延安大学咸阳医院的超人团队正用手中的小小探头维系着患者的生命安全,他们正踏着创三甲提质量强内涵的步伐,任劳任怨、勤奋工作,为医院的发展添砖加瓦,为患者的健康保驾护航!

超声科主任:吴建军

超人团队


