欢迎访问延安大学咸阳医院公众版网站!
当前时间:
延安大学咸阳医院,中铁二十局中心医院,延安大学医学院第三附属医院,咸阳心脑血管病医院,居民医保定点医院
967120
029-33766666
微创剜除肿瘤保肾脏效果更佳
发表时间:【2018-02-09】
字体大小:【放大】 【正常】 【缩小
浏览次数:【7279】次

——泌尿外科微创技术展示

泌尿外科   强永春

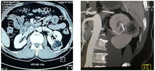
    近日,我院泌尿外科收治一位五十五岁男性患者。体检发现肾脏占位,肿瘤约五厘米。患者平素身体健康,外院就医曾安排肾切除。因对传统肾切除有顾虑而出院。入住我院泌尿科。在诊断和手术适应症明确后,强主任协同专家组,认真讨论了病情,和患者及家属充分沟通后,安排行后腹腔镜下肾肿瘤剜除术,保留了肾脏,术后恢复快,现已出院正常工作。
    肾癌典型症状为血尿、腰痛、腹部肿块,是泌尿系统常见恶性肿瘤,但等到出现这些症状,往往已到晚期;很多患者都是体检时发现,目前,传统的开刀切除肾脏已逐渐被后腹腔镜下肿瘤剜除或后腹腔镜下肾根治性切除取代,并且可以达到传统的手术效果。

    后腹腔镜技术,即俗称的“打眼”,于腰部不同部位作3个5-12毫米的小切口,通过这些切口插入摄像镜头及手术器械,通过摄像镜头将各个组织、脏器传输到电视屏幕上,外科医生通过观察图像用各种手术器械在腰部进行操作来完成手术。
    如图一图二为肿瘤位置及大小,图三即为手术操作通道(5mm、10mm、12mm),术中游离出肾动脉后,用图四的血管夹临时阻断肾脏血液供应,剜除肿瘤后,在腔镜下缝合肾脏,确定缝合严密,再恢复肾脏血供!要求阻断时间不能超过30分钟,此例患者阻断17分钟!此类手术技术难度大,腹腔镜下缝合要求高,并对血供阻断有时间要求!
    比以往的开放手术相比,有以下优点:1.手术创伤小,2.病人术后恢复快,3.住院时间短,4.病人术后疼痛轻,5.手术瘢痕小,美观,6.治疗效果与开放手术相同。
    我院泌尿外科,目前拥有先进的等离子电切镜;德国产狼牌输尿管镜、肾镜及腹腔镜;气压弹道联合超声吸附碎石清石系统;同时与省内外各专家团队建立沟通协作机制,会诊及手术均可完成,能让患者不出咸阳,享受国内一流的医疗服务。