日常生活及工作中,手外科医生常常能见到各种因为意外导致手指离断的患者,为挽救“断离”的手指,就离不开断指再植术。断指再植术要进行很严密的血管神经缝合,离断的指体能否完全成活,术后的注意事项不可忽视。
断指再植是一项比较专业的技术,手术操作时间一般比较长,术后影响手指成活的因素也比较多。断指再植手术的结束不意味着手指就能成活,术后的7-10天内都是危险期,一些生活中的不良习惯等稍不注意就能导致手指的坏死。除了专业的护理之外,个人的不良习惯也要改正,我们一起来看看:
术后关键注意事项
1. 保持再植指体稳定
固定体位:术后需严格保持患肢抬高(略高于心脏水平),可用功能垫子或支架支撑,减少肿胀。
避免活动:术后1周内手指禁止活动,防止吻合的血管、神经因牵拉而受损。
2. 保暖防寒,促进血液循环
温度控制:室内温度建议维持在20-25℃左右,避免空调或风扇直吹手指。
保暖工具:可用棉布包裹患指,必要时使用保温灯(距离患处30cm-40cm以内,避免烫伤)。
3. 密切观察手指状态
每天检查以下指标,发现异常立即联系医生:
✅ 颜色:红润正常,若发白(缺血)或紫黑(淤血)需警惕。
✅ 温度:与健康手指温差≤2℃,持续冰凉可能提示血供问题。
✅ 肿胀:轻微肿胀正常,若迅速加重或出现水疱需就医。
4. 疼痛与用药管理
止痛药:按医嘱服用,避免自行加量或停药。
抗凝药物:如阿司匹林、低分子肝素,需定时服用,切勿漏服(防止血栓形成)。
5. 饮食与生活习惯
饮食建议:多摄入高蛋白(鸡蛋、鱼肉)、维生素C(橙子、猕猴桃)促进伤口愈合,忌辛辣、烟酒。
绝对禁烟:尼古丁会导致血管痉挛,增加手指坏死风险(包括二手烟)。
分阶段康复功能锻炼计划
【早期阶段:术后第5天起】
目标:预防关节僵硬,减轻肿胀。
★ 被动活动:在医生指导下,家属轻握患者手指,缓慢做轻微屈伸(每次5分钟,每日2次)。
★ 肩肘活动:健侧手辅助患侧手臂做耸肩、肘部屈伸,防止上肢肌肉萎缩。
【中期阶段:术后第14天起】
目标:恢复手指基本活动能力。
★ 主动屈伸:尝试缓慢弯曲指尖→指节→掌心,再伸直(如捏海绵球、揉纸巾)。
★ 感觉训练:用棉签轻触手指,分辨冷/热、软/硬等触觉刺激。
【后期阶段:术后45天起】
目标:增强手指灵活性与力量。
★ 精细动作:练习捡豆子、拧瓶盖、系鞋带等日常动作。
★ 抗阻训练:使用橡皮筋或握力器进行抗阻力抓握(需医生评估后开始)。
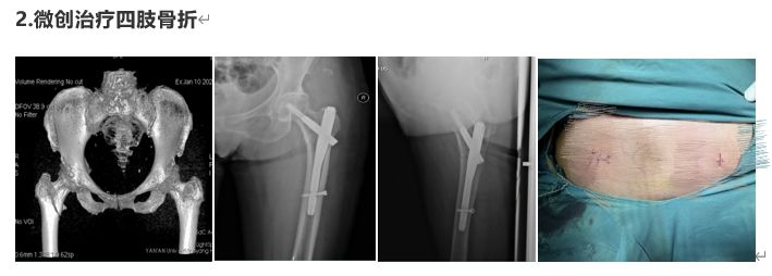
部分病例展示
延安大学咸阳医院骨科二病区是以手足显微外科、慢性创面修复、关节外科、创伤骨科、小儿骨科为主要研究方向的专业化科室。现有床位36张,医护人员20人,其中主任医师1名,副主任医师2名,中级职称3名,住院医师2名。
科室电话:029-33785129
科室地址:陕西省咸阳市文林路中段38号外科大楼10楼
供稿:骨科二病区 周星星
供图:骨科二病区 董妍
审核:姚春和
编辑:宣传部 成淑平
校对:宣传部 李钊


