——我院神经外科成功实施立体定向颅内病变活检术
神经外科一病区 巨涛 核稿:科教部
近日,我院神经外科一病区成功完成了第一例立体定向颅内病变活检术。
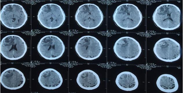
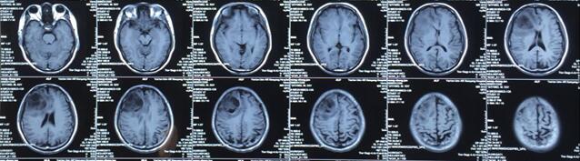
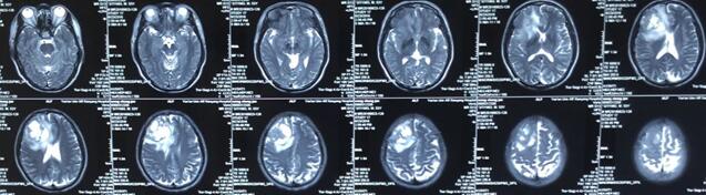
患者王某某,男,53岁,因“间断头痛半月”入神经内科十二病区,发现颅内占位后转入神经外科。既往患者有肺Ca病史,于一年前行手术治疗。头颅影像学诊断胶质瘤?转移瘤待排。2016年6月29日在3.0T磁共振定位后,刘增强副主任与其团队为患者实施了立体定向脑内病变活检术,此患者病灶为囊实性,手术难度较大,而一旦囊液流失则会发生脑组织漂移,导致靶点移位,因此手术计划制定尤为重要,入颅点为右额部,穿刺后首先达到肿瘤实性部分,获取病灶标本后,抽出部分囊液以缓解患者高颅压症状,经过精细的手术操作,最终成功获取肿瘤标本,并且抽出约20ml肿瘤液,患者情况稳定,术后两小时即下床活动。
术后冰冻切片报告考虑转移瘤,我院石蜡病理结果为少许低分化癌组织,结合病史符合肺癌脑转移。



我院在2015年度科研立项经费总额达59万的基础上,今年又启动了新一轮院内科研基金项目,并对基金项目的分设进行了重新梳理和分层、定位,基金项目分为三大类型:科技助推计划基金、研究生科研创新计划基金、科学研究专项基金。其中科技助推计划资助以临床常见、重大、疑难疾病的预防、诊断和治疗需求为牵引,以最终获得具有临床应用价值的诊疗方法和标准,以及应用新仪器、新器械为目标而开展的应用研究,资助金额为30-50万元/项,研究期限3年;“立体定向颅内病变活检术”属于我院2016年度院内科学研究基金项目中的助推计划,是我院重点扶持和推动的项目,立项经费达30万元。本项目立项后,医院立即按照课题计划,购置了目前国内应用最广的安科立体定向设备及手术操作计划系统,通过电生理记录、获取组织标本、制造毁损灶、消除病变等方法,以达到进行生理研究、诊断和治疗中枢神经系统疾病的目的。目前神经外科应用立体定向技术已开展颅内病变活检,深部血肿穿刺,囊性病变囊液抽吸,脑脓肿穿刺抽吸及腔内治疗。尤其对于颅内囊实性恶性肿瘤可以留置Ommaya囊进行治疗。
此次立项项目的成功开展将进一步激发广大中青年医护人员的创新热情,培养他们的科研思维和科研创新能力,孵化更多的临床实用型、创新型科研成果,并为我院神经外科以及全院医疗技术水平的进一步提高注入一针强心剂!


