欢迎访问延安大学咸阳医院员工版网站!
当前时间:
“老、大、难”问题——前列腺增生的治疗
发表时间:【2018-01-25】
字体大小:【放大】 【正常】 【缩小
浏览次数:【6799】次

泌尿外科   强永春

    近日,我院泌尿外科两例前列腺增生、尿潴留患者痊愈出院,一例71岁,因心脏基础疾病行术前讨论后,先由心血管内科五病区李阳副主任放置临时起搏器,再行经尿道前列腺等离子电切术,另一例为69岁,因有基础疾病“帕金森、慢性阻塞性肺病,重度通气功能障碍,脑梗塞”,入科后组织多学科会诊,呼吸内科贾建厚主任、麻醉科/手术室王志涛主任、神经内科十六病区张晓杰副主任、心血管内科五病区李阳副主任等保驾护航,积极术前准备,后行手术治疗。两例患者均由强永春副主任主刀,术后两位患者均恢复好,自诉排尿顺畅,排尿回到了三十多岁的感觉!
   “老了,前列腺大,排尿困难”俗称老大难问题,随着人口老龄化的到来,老年男性的老、大、难问题愈来愈突出,那到底怎么解决呢?

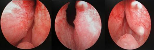
(图中阻挡正常尿道的部分,即为增生的前列腺)

    当年龄过了50岁,出现夜尿增多、尿流变细、尿流间断、排尿费力、尿滴沥、尿不尽等症状,那就该考虑前列腺增生了,早期不一定手术治疗,可先选择药物控制疾病进展,而随着年龄的继续增长,病情进一步发展,出现尿潴留、残余尿量增多,甚至部分患者出现反复感染,血尿,严重影响生活质量,就需要入院手术治疗。
    传统手术需要开刀并且留置引流管,恢复需半月左右,在泌尿外科微创时代逐步被经尿道前列腺电切术取代,我院泌尿外科采用目前先进的等离子技术,较普通电切更安全,并发症更少。不用开刀,术后1-2天下床活动,5-7天拔除尿管,逐步回归日常生活。我科曾为乾县91岁老人行手术治疗,术后效果非常满意。

(手术示意图)

(术前、术中、术后图片)

    泌尿外科:外科大楼十五层
    科室副主任:强永春   13772610118
    科室电话:029—33784342