微创技术引领骨科新潮流
——骨科二病区开展多项新技术效果良好
骨科二病区 侯晓进
随着时代的发展,医疗技术的不断更新,微创、个性化是未来骨科的发展方向。创伤骨科采用MIPPO技术治疗四肢骨折具有创伤小、术中术后出血少、伤口美观、固定牢固、骨折愈合率高以及能够早期功能锻炼的优点。延安大学咸阳医院骨科二病区紧跟国际骨科前沿,结合国内及地区现状积极开展微创手术,效果满意。

我院首例掌骨颈骨折髓内钉技术


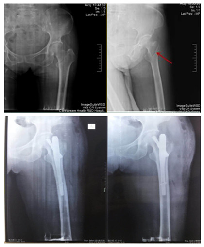
我院首例股骨粗隆间骨折PFNA技术


我院首例胫骨骨折MIPPO技术
延安大学咸阳医院骨科二病区医院重点科室,目前可开展断指(断肢)再植,拇手指再造,各种复杂手足畸形矫形术,各种大面积软组织缺损皮瓣移植术,各种瘢痕的防治与治疗,骨质缺损的骨瓣移植术及骨延长术,慢性骨髓炎的系统治疗,各种复杂的四肢创伤及骨折,膝关节及髋关节置换术,胸腰椎骨折的内固定术,各种骨肿瘤及骨结核的治疗等。科室承担院内多项新项目新技术科研与实践,曾多次获得“咸阳市科技进步奖”,“咸阳市优秀论文奖”,在手足外科论坛及国际骨科大会上参加优秀手术竞赛获得国内外专家的高度赞扬并获奖。
科室电话:029-33785129
科室位置:外科大楼10楼(骨科二病区)
医院24小时急诊热线:029-33766666
医院24小时服务热线:029-33785192
患者随访预约诊疗服务电话(8小时工作制):029-33785693 029-33785482 029-33785377


