肿瘤胸外科 严朝 李伟
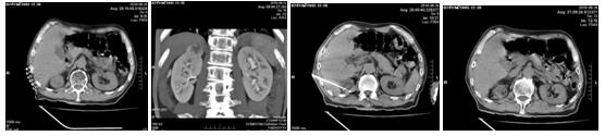
近日,我院肿瘤胸外科收治了一位老年男性肺部占位病人,入院后行全身系统检查诊断为:左肺小细胞肺癌、右肾恶性肿瘤。肿瘤多学科会诊(MDT)后,制定治疗方案为全身化疗+右肾肿瘤微波消融术。
化疗后病人一般情况尚可,经过充分的术前检查及准备后,2018年6月26日在苗满园主任的带领下,与CT室联合进行手术,局麻后在CT引导下将电极针准确插入肿瘤内部,对肿瘤实施微波消融术。仅20分钟顺利完成手术,达到了预期的满意效果和消融范围。术中患者清醒无不适,术后6个小时患者即可下床活动。术后评估微波消融治疗范围,无出血及邻近脏器损伤。

作为肿瘤局部治疗的新技术,微波消融治疗已经开始在国内外许多肿瘤中心应用与临床,而且发展迅速,应用领域不断扩大,疗效也被临床人员重视。

微波消融的优势有:
1、微波治疗主要特点是安全性高,复发率低,病人负担轻;
2、微波辐射受组织碳化的影响小,能产生较大的毁损区域;
3、微波临床使用范围广,不仅可用于肝癌治疗,还可用于肺癌、乳腺癌、胰腺癌、前列腺癌、骨癌、子宫肌瘤等实体瘤的治疗;
4、单刀凝固范围在4cm左右;
5、作为直径3cm以上肿瘤非手术治疗方案的首选,列入英国胃肠病协会及美国NCCN颁布的肝癌诊治指南;热消融治疗原发性和转移性肺部肿瘤专家共识(2017年版)中明确提出对于一些不能手术或者不耐受手术的肺部肿瘤患者,可以通过治愈性消融达到良好的治疗效果
6、价格适中。
由于微波消融具有单次治疗体积恒定,疗效确切、操作方便、时间短、创伤小、恢复快、受患者因素影响小等特点,对病灶局限、体积适宜和数目不多的实质性肿瘤等,微波消融技术已成为临床主要的治疗选择之一。目前,微波消融已广泛用于肝癌、肺癌、骨肿瘤、甲状腺癌等实体肿瘤的临床治疗。
肿瘤微波消融适应症是:
1、因心、肺、肝功能等原因不能实施手术的原发性肿瘤,尤其是肝、肺等实质性肿瘤; 2、转移性癌灶、术后复发性灶和多发性癌灶; 3、晚期患者延长生命提高生存质量的姑息性治疗; 4、因位置原因不能手术切除或术中不能完全切除的肿瘤; 5、病人拒绝手术。
肿瘤微波消融技术是综合介入手术中属限制性的高难度操作技术,是肿瘤胸外科在消融技术经验积累的基础上,又一次成功的创新性技术革新,是我院非血管性肿瘤微创消融治疗的技术性飞跃。
肿瘤胸外科地址:延安大学咸阳医院外科楼16楼
来电咨询电话:029-33783377


