万紫千红迎国庆,片片红叶舞秋风。在这秋高气爽,丹桂飘香的美好季节,我们迎来了祖国70周年华诞。在这个特殊的日子里,延安大学咸阳医院心脏介入导管室的每一位成员仍肩负重任,勇于担当,不忘初心,牢记使命。在平凡的岗位上为国家、为医院、为患者贡献自己绵薄之力。
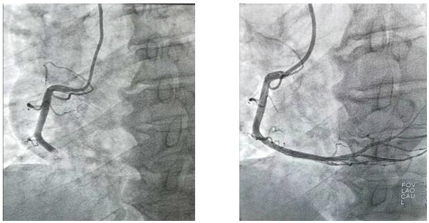
2019年10月1日凌晨1点左右,兴平市人民医院将一位急性心梗病人送至我院,患者胸痛5小时并伴有大汗,心电图显示ST段呈弓背向上型抬高,出现宽而深的Q波和T波倒置。心肌酶及肌钙蛋白升高。心血管病院值班二线立即通知导管室值班医生。“导管室已启动”,一场与死神的博弈即将开始,医护人员“飞毛腿”式赶到导管室,护士开始了准备工作,“液体已配好、除颤仪处于备用状态、急救药品准备完毕”的同时,随着技师“赶快带病人”。医护人员穿上近30斤重的铅衣、洗手、戴口罩,一场没有硝烟的战争正式开始了,消毒、穿刺、造影.....手术紧张而有序的进行着,经过一小时左右的奋力抢救,病人终于脱离了危险。安全送至CCU后,医护人员此时已经筋疲力尽,身上的衣服也已经湿透,但大家还是会共同探讨手术的过程。
凌晨3点,手术室终末消毒工作刚刚结束,“滴滴滴……”胸痛中心来电,启动导管室,医护人员再次穿上铅衣冲向属于自己的特殊战场……10月1日、10月2日、10月3日、10月4日、10月5日、10月6日,我们完成PTCA支架置入术、冠状动脉内溶栓术、PTCA腔内成型术、临时起搏器置入术、冠状动脉内左室造影术及冠状动脉内血管造影术共计心脏介入手术35例。我们永不停息的穿梭与手术间,平凡的本职工作中,与死神赛跑.....挽救了无数名生死垂危的患者,解除患者病痛的同时,还您一个完整、幸福的家!
70年的风风雨雨,让我们的祖国日益强大,新中国的伟大成就让你我他倍感骄傲与自豪,更激励我们担当有为,奋发图强。我们愿与祖国同呼吸,共命运,立足本岗,干好本职,在平凡的岗位上锻炼非凡的职业精神,做新时代主动担当作为的奋斗者。

心脏导管室 周志伟 曹妙云


