疫情下的特别手术——冠状动脉瘘弹簧圈栓塞术
2020年年初,新型冠状病毒肆虐,白衣天使们成为了最美逆行者,他们像一块块巨大的岩石挡住了新型冠状病毒性肺炎,在全国人民的共同努力下,新冠肺炎疫情控制稳中向好的态势发展,延安大学咸阳医院亦全面复工。3月3日心血管内科七病区开展了一例特别手术——冠状动脉瘘弹簧圈栓塞手术,这是本年度的一例新项目手术,填补了我院此项手术空白。
该例手术为一名65岁女性,患者长期有胸闷、气短不适症状。于2012年行二尖瓣狭窄置换术,术后仍有胸闷、气短。多次复查心脏超声提示二尖瓣置换术后,未见瓣膜周漏,左房扩张。手术应该没有问题。但是症状一直困扰着患者,经多方打听于2月27日来到我院就诊,因为在特殊时期,患者担心医院有没有上班,自己又是外省来的,疫情期间能不能住院,在门诊高胜利主任医师接诊了该患者,给予测体温,登记,询问最近的旅居情况,一切正常,将患者安排住院,来到住院部12层心七科住院病区,整洁的病区环境,医护人员的贴心照顾,让患者紧张的心情放松了下来。主管医师李阳波了解病情后,为患者做了全面查体,完善相关检查后考虑患者的胸闷、气短症状和冠心病有关,建议行冠状动脉造影术(CAG)明确病情。
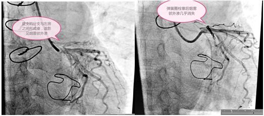
2月29日患者冠脉造影结果提示:冠脉为均衡型,LM未见明显狭窄;LAD远段可见心肌桥,长度约15mm,收缩期压迫约50%;LCX中段60%狭窄,可见冠状动脉-左房瘘;RCA未见明显狭窄。结果冠状动脉狭窄程度不是很重,却发现了冠状动脉-左房瘘。造影发现了新的诊断。吴栋梁院长、高胜利主任及贺新荣副主任医师讨论了患者的病情,认为患者目前的胸闷、气短症状和这个比较少见的冠状动脉瘘有关,导致冠状动脉窃血引发症状,为患者制定了下一步的治疗计划——冠状动脉瘘弹簧圈栓塞手术。患者及家属表示同意手术并积极配合治疗。
定于3月3日进行冠状动脉瘘弹簧圈栓塞手术,术前手术团队为患者细心指导,消除患者紧张情绪,穿着手术衣,带着一次性手术帽和普通外科口罩,做好防护。吴栋梁院长和高胜利主任手术团队为患者精心进行了手术,要将大小合适的弹簧圈放在血管远端狭窄处封住瘘口,患者冠脉及分支血管比较迂曲,会导致手术过程比较复杂,耗时长,这些在手术方案里均考虑到。初始常规使用的导丝通过困难,后来根据患者血管走形我们又选择了微导管和特殊的导丝,导管室很安静,能听到的只有时钟的滴答声和我的心跳声,调整了手术器械后弹簧圈很快送到位并释放,手术终于圆满结束,比我们预计的手术时间提前了半小时。
该例手术为一名65岁女性,患者长期有胸闷、气短不适症状。于2012年行二尖瓣狭窄置换术,术后仍有胸闷、气短。多次复查心脏超声提示二尖瓣置换术后,未见瓣膜周漏,左房扩张。手术应该没有问题。但是症状一直困扰着患者,经多方打听于2月27日来到我院就诊,因为在特殊时期,患者担心医院有没有上班,自己又是外省来的,疫情期间能不能住院,在门诊高胜利主任医师接诊了该患者,给予测体温,登记,询问最近的旅居情况,一切正常,将患者安排住院,来到住院部12层心七科住院病区,整洁的病区环境,医护人员的贴心照顾,让患者紧张的心情放松了下来。主管医师李阳波了解病情后,为患者做了全面查体,完善相关检查后考虑患者的胸闷、气短症状和冠心病有关,建议行冠状动脉造影术(CAG)明确病情。
2月29日患者冠脉造影结果提示:冠脉为均衡型,LM未见明显狭窄;LAD远段可见心肌桥,长度约15mm,收缩期压迫约50%;LCX中段60%狭窄,可见冠状动脉-左房瘘;RCA未见明显狭窄。结果冠状动脉狭窄程度不是很重,却发现了冠状动脉-左房瘘。造影发现了新的诊断。吴栋梁院长、高胜利主任及贺新荣副主任医师讨论了患者的病情,认为患者目前的胸闷、气短症状和这个比较少见的冠状动脉瘘有关,导致冠状动脉窃血引发症状,为患者制定了下一步的治疗计划——冠状动脉瘘弹簧圈栓塞手术。患者及家属表示同意手术并积极配合治疗。
定于3月3日进行冠状动脉瘘弹簧圈栓塞手术,术前手术团队为患者细心指导,消除患者紧张情绪,穿着手术衣,带着一次性手术帽和普通外科口罩,做好防护。吴栋梁院长和高胜利主任手术团队为患者精心进行了手术,要将大小合适的弹簧圈放在血管远端狭窄处封住瘘口,患者冠脉及分支血管比较迂曲,会导致手术过程比较复杂,耗时长,这些在手术方案里均考虑到。初始常规使用的导丝通过困难,后来根据患者血管走形我们又选择了微导管和特殊的导丝,导管室很安静,能听到的只有时钟的滴答声和我的心跳声,调整了手术器械后弹簧圈很快送到位并释放,手术终于圆满结束,比我们预计的手术时间提前了半小时。
术前与术后
冠状动脉瘘(CAF)是指冠状动脉主干或分支与心腔、肺动脉、冠状动脉窦、上腔静脉或肺静脉近心端的异常交通,可为先天性或获得性。在冠状动脉畸形中其发病率占第一位,约占43%。一般来说小的冠状动脉瘘不会导致症状,中大型瘘会导致心肌缺血与容量负荷增加,可有活动后胸闷、心悸,气促,还有心绞痛、胸痛等表现,严重者可出现心衰、端坐呼吸。CAG是诊断CAF的金标准。对于较大的CAF,无论有没有症状都倾向于处理,而中小型CAF如果有症状也应该处理,处理方式可以根据CAF结构与是否合并其他心脏结构异常选择手术或介入方式。而该例患者属于有症状的中型瘘,有介入手术指征。
患者手术顺利,术后恢复好,已于3月9日出院,出院时满怀感激地说:“你们是伟大的白衣天使,解决了困扰我多年的痛苦,让我在治疗疾病的过程中感到了亲人般的温暖,祝心七科全体医护人员如意安康!”我想这才是我们医务人的成就感和欣慰感吧!再苦再累也没有什么!
此例手术的成功,为心脏病患者带来了福音!
患者手术顺利,术后恢复好,已于3月9日出院,出院时满怀感激地说:“你们是伟大的白衣天使,解决了困扰我多年的痛苦,让我在治疗疾病的过程中感到了亲人般的温暖,祝心七科全体医护人员如意安康!”我想这才是我们医务人的成就感和欣慰感吧!再苦再累也没有什么!
此例手术的成功,为心脏病患者带来了福音!
心血管内科七病区24小时咨询电话:029-33785046
心血管内科七病区科室位置:心血管大楼12楼
供稿:心血管内科七病区 贺新荣


