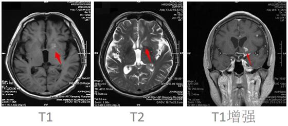
患者邱某,男,67岁 ,因“反复低热头痛40余天”入住我院神经内科三病区,入院后行神经系统体格检查示:表情淡漠,脑膜刺激征阳性;行颅脑磁共振增强扫描示:颅内可见多发点状及小片状结节灶,增强扫描呈小片状及环形明显强化,考虑①感染性病变,结核性脑膜炎可能,②转移瘤待排:请结合临床实验室检查;行腰椎穿刺术示:颅内压310mmH2O,潘氏试验阳性,并于脑脊液中检测出结核分枝杆菌(咸阳市首例)。脑脊液常规:淡黄色清亮,白细胞计数 210*106/L,潘氏试验阳性,中性粒细胞比率 90.0%。脑脊液生化:葡萄糖 1.40mmoI/L,氯 105.5mmol/L,微量总蛋白 2749mg/L,陈萍主任医师、代昌飞副主任医师及科室其他医师慎重讨论后考虑:结核性脑膜炎,并立即制定抗结核、降低颅内压、抑制脑水肿、减轻炎症反应等相关治疗方案。王宝艳护士长指导护理应加强护理,早期康复。经讨论汇总,为该患者制定特色治疗方案,动态调整,密切观察。在科室医生护士的精诚协作下,患者渡过险关。复查腰椎穿刺术:初压:170mmH20,常规:潘氏试验阳性;白细胞计数 120*106/L。淋巴细胞百分率 10.0%,中性粒细胞百分率 90.0%。生化:微量总蛋白 1503mg/L。出院后继续抗结核治疗。
陈萍主任于脑脊液中找到结核杆菌(咸阳市首次)
陈萍主任医师介绍,结核性脑膜炎是一种中枢神经系统感染疾病,占全身结核病的6%,在结核病中表现形式最严重,是结核病死亡的最主要原因,其致残率亦较高。据统计,其治疗愈晚病死率愈高,中期病死率为3.3%,晚期病死率高达24.9%。故结核性脑膜炎的早期诊治尤为重要,但其误诊率较高,且确诊较迟,发病一周内诊断率仅为10%。
长期以来,神经内科三病区对神经内科常见疾病如脑梗死、脑出血等具有丰富的临床经验,并致力于神经系统感染和免疫性疾病的诊治和科研工作,如帕金森病、面神经炎、结核性脑膜炎、PSP、MS、NMOSDs等,受到患者一致好评,在咸阳市乃至陕西省有一定的影响力。科室内设高中档普通病床70张及设备齐全的ICU病房,拥有SGF-700脑血管治疗仪、脑循环治疗仪、气压治疗仪等多种治疗脑血管病的先进仪器。同时拥有一批高素质的护理团队,为患者提供更优质的护理。
专家介绍
陈萍主任:空军军医大学神经病学博士、博士后,多年在空军军医大学西京医院从事神经病学临床医疗、教学、科研工作,有丰富的临床经验。擅长脑血管病和神经系统感染和免疫性疾病等各种疑难杂症。以第一作者发表SCI论文数篇,中文核心期刊10余篇。参研国家自然科学基金3项,参编《临床神经生物学》医学著作1部。
科室地址:延安大学咸阳医院脑血管病院6楼
科室电话:029—33784172
陈萍主任:15809275358
供稿:神经内科三病区 张乐乐 审稿:陈萍
专家介绍:
科室介绍:


