12月18下午我院李新国责任总医师和往常一样在门诊接诊患者,一位患者在女儿的陪同下前来就诊。经询问病史,患者陈某、男性、62岁、有长期吸烟史;1年前行冠状动脉造影提示左前降支轻到中度狭窄;术后未戒烟,也未按医嘱规律服药,近期反复发作心绞痛,李医生当即建议患者住院复查造影。患者开始拒绝住院,要求门诊治疗,在李医生反复劝阻下最终同意住院。12月19日晨交班过后,主管医生吴朝医生在积极完善患者造影术前各项准备工作时,突然一阵急促的电话铃声打破了紧张而有序的工作:“我是2楼心电图室,你科患者陈某突发晕厥,正在抢救……”。
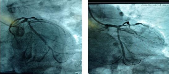
吴医生迅速到达心电图室,查看患者意识不清,心电图提示下壁心肌梗死、三度房室传导阻滞。立即给予阿托品、异丙肾上腺素提升心率,经积极抢救后患者心律逐渐恢复,意识逐渐清醒。“考虑患者是突发急性心梗引起的恶性心律失常,猝死风险极高,必须行急诊介入手术”,李新国责任总医师告知家属病情,同时启动应急预案,通知导管室做好急诊手术准备,应急电梯待命…家属同意手术后,立即前往导管室,实施急诊冠脉造影手术。造影结果证实LCX中远段95%狭窄,术中于病变血管处植入支架1枚,术后血流恢复,患者症状改善。在10余名医护人员3个多小时的紧急抢救下,终于我们战胜了死神。这一天,许久未晴的天空、阳光格外晴朗、明媚;这一天,北方的寒冬似乎也有了温度…
据统计,全国现有心血管疾病患者约有2.9亿人,其中心肌梗死患者约250万人,心力衰竭约450万人,心源性猝死发生率为41.8/10万人。每年我国心源性猝死发病人数超过54万,相当于每天约1500人因心源性猝死离世。急性心肌梗死的救治争分夺秒,及时积极的救治能挽回更多的生命。若您身边有患者发生胸痛、胸闷、大汗等不适症状,请及时拨打029-33766666或029-33788111,我们为您的生命随时保驾护航。
供稿供图:心血管内科八病区 俱思敏 吴朝


