---延安大学咸阳医院心血管内科五病区与医学影像科合作通过心脏MRI诊断心肌致密化不全一例。
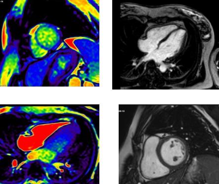
新年伊始,心五科接诊了这样一名年轻女性患者。患者受凉1周后出现心慌、气短不适,既往无危险因素及心脏病史,入院后查动态心电图提示:频发性室性早搏伴频发短阵室性心动过速,但患者心肌酶谱及心脏彩超均未经明显异常。患者究竟是什么原因导致此类恶性心律失常呢?是冠心病?心肌病?心肌炎?还是遗传性心脏病?在心五科主任李阳副教授、冯韩章责任总医师及科室医生的分析讨论后,最终决定于2021年1月21日为患者进行心脏磁共振检查。在医学影像科张利安责任总医师、蔡雷主治医师认真读片,院长助理兼医学影像科主任刘连锋教授最终确认后,考虑心肌致密化不全。可是心肌致密化不全又是什么样的一种疾病呢?
心肌致密化不全(海绵心肌病)是一种罕见的特殊类型的心肌病,属于先天性、遗传性心肌病,它表现为以心室内异常粗大的肌小梁和交错的深隐窝为特征的一种与基因相关的遗传性心肌病。心脏是由非常密集的肌肉细胞组成的,如果胎儿或后天疾病导致心肌细胞空间增大,即心脏没有致密的肌肉结构,导致心肌致密化不完全,收缩力下降,心功能或心率改变,部分患者后果严重。一般主要是累及心脏的左心室,临床表现多样,从无症状到进行性心功能恶化,充血性心力衰竭,心律失常,甚至猝死。
心肌致密化不全过去主要靠超声心动图诊断,但由于分辨率问题,部分患者敏感性较低,有时需要经食道UCG或心肌声学造影,心脏MRI对NVM诊断敏感性可达86%,特异性达99%。经过明确诊断,可提高患者对疾病的重视,提高医生对患者疾病的认识,为患者提供更优化的治疗措施及预后判断。
联系人:李阳主任
电 话:13809104552
地 址:心五科(心血管病院10楼)
供稿供图:心五科 焦媛媛


