7月19日晚上23:05,走进延安大学咸阳医院CCU病房,来自河南的蒿大叔正躺在17号病床上安静的休息着,而他的这次咸阳医院之行纯属意外之旅。就在3个小时之前,在计划从郑州飞往贵阳的旅行中,刚上飞机不久的蒿大叔感到持续性的心前区剧烈疼痛,经验丰富的乘务员请求飞机紧急迫降咸阳机场。早已等候的机场医院120急救车将患者送到我院,成功接受了冠状动脉成形术。
蒿大叔今年70岁,7月19日打算从郑州到贵阳去帮忙看孙子,在登机前就有心前区闷痛不适,但老人家并没有太在意,一路小跑着上了飞机。刚上飞机不久,蒿大叔就感到胸痛加剧,伴胸闷、气短,全身大汗淋漓,持续不缓解,赶紧向乘务员求救,乘务组立即联系了机场的医务人员,在飞机上含服了硝酸甘油,但症状还是未能缓解。
图片为网络配图
机长决定紧急迫降咸阳机场,机场急救中心贾医生早已在停机坪等候,行心电图检查提示--急性前壁心肌梗死!!立即给予负荷量的抗血小板药物,同时联系急救车转运。我院胸痛中心接到机场急救电话,为蒿大叔开通了急诊绿色通道。但是蒿大叔倔强的认为自己是胃病,坐飞机晕机,坚决不愿意手术,同时又没有亲属跟随,这下可难坏了值班医务人员。胸痛中心蒋冲主治医师多次与老人沟通未果,电话与远在贵州的儿子进行病情告知,但家属也仍犹豫不定。几经周折联系到了蒿大叔在咸阳的亲戚,最后在CCU病房李新国主任、值班医师李雪杰主治医师、张欣怡医师的反复耐心解释及劝说下,家属最终同意手术。
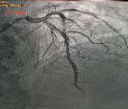
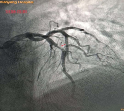
李新国主任为蒿大叔做了急诊冠脉造影检查,提示前降支近中段90%狭窄, D1开口99%狭窄,可见血栓影,结合术前心脏超声检查发现患者心脏腱索水平以下左室前间壁、前壁、前侧壁运动搏幅减低,梗死范围大,考虑罪犯血管为前降支近中段,在前降支近中段植入了一枚支架,开通闭塞血管。经过1个多小时的抢救,蒿大叔总算从鬼门关被救了回来了。
“非常感谢,非常感谢”,7月20日上午10时,远在贵阳的儿子也赶到了咸阳,紧紧握住了医生们的双手,再三表示了感谢。蒿大叔其实早在1月前剧烈活动时就有过胸闷、胸痛的症状,因为没有重视,险些丢了性命,这次发病如果机组不是果断迫降,再耽误下去患者极有可能猝死在飞机上。
急性心肌梗死,胸痛界顶级杀手之一,居心血管病死亡之首,是由于心脏的冠状动脉突然闭塞,导致心肌血液供应中断而发生心肌细胞坏死,多数患者表现为急性胸痛、胸闷,甚至引起休克、心脏骤停、猝死,抢救不及时就会导致死亡。急性心肌梗死的黄金救治时间仅仅120分钟,只有紧急开通堵塞的血管,才能挽救患者的生命。延安大学咸阳医院作为咸阳地区首家通过中国胸痛中心认证的医疗机构,是距离机场最近的三级甲等医院,承担机场所有危急重症患者的急诊抢救工作。心血管病院胸痛中心,它的初衷就是将急性胸痛患者的高危人群快速鉴别出来,而胸痛患者的快速诊断及救治也代表了一个医院急诊综合处置能力。“时间就是生命,时间就是心肌”,挽救心肌、抢救生命是每一位心血管医生的使命与职责,所以才会有那么多了不起的心血管和急诊人不分昼夜、争分夺秒与时间赛跑,抢救每一位患者。而抢救心梗病人,就是争分夺秒以及医患间的相互理解与配合,愿我们以此为起点,能够为更多的患者提供更安全、有效的“生命通道”。
供稿:CCU 李雪杰 供图:CCU李新国 张欣怡


