1周前,张奶奶突感胸口发闷,呼吸困难,全身乏力,一向身体不错的她在子女的陪同下,立即前往当地县医院就诊。医生考虑胸闷、气短不适为心内科多见的症状,多见于“冠心病”的患者,便安排了住院诊疗。就在张奶奶住院期间突发了晕厥,经检查排除了脑卒中、低血糖、重度贫血、房颤、病态窦房结综合症等导致晕厥的原因,这让医生很困惑。在张奶奶第三次晕厥发生后,当地医院为避免延误病情,便转往我院治疗。
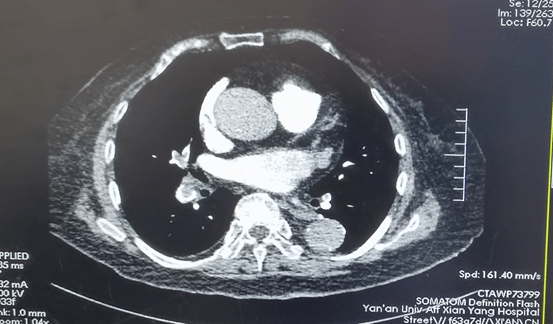
到达我院后,值班医生黄永涛查看患者后,发现她嗜睡状态,查体发现呼吸急促、皮肤黏膜发绀、心动过速、双下肢肿胀,患者血氧饱和度只有46mmHg,血压:135/80mmhg,脉搏:102次/分;黄医生判断患者病情危重,考虑肺栓塞可能,遂请示科主任崔旭辉主任医师。指示:立即完善血气分析、D-二聚体、肺动脉CT造影、下肢深静脉超声等检查等。结果回报D-二聚体显著升高至7.09ug/ml,双侧股总静脉游离血栓形成、双肺多发肺栓塞,进一步证明了肺栓塞的诊断。患者被立即送往CCU呼吸机辅助呼吸并积极抗凝治疗。
经治疗后患者病情好转,但复查深静脉彩超仍有游离血栓,崔主任指示:该患者再次肺血栓栓塞可能较大,有可能危及患者生命,时间刻不容缓!在取得了患者及家属的知情同意后,安排了下腔静脉造影术+下腔静脉滤器植入术。
术后继续积极治疗,再未出现过晕厥的情况,入院时的症状均得到了改善,严密监测了患者下肢静脉血栓,在治疗1周后复查超声检查提示下肢深静脉新鲜血栓的影子已经消失。传统的治疗方案到此已经获得了满意的疗效。但崔主任从患者长期预后的角度考虑,滤器遗留在血管里,存在其他不可预知的风险,并需要长期口服抗凝药物预防血栓的形成,这样也增加了消化道、眼底、脑血管等出血的风险。于是崔主任带领团队,为患者实施了经皮深静脉滤器取出术,极大的避免了不良事件发生的机率。
肺栓塞发病率较高,病死率亦很高,由于肺栓塞症状缺乏特异性,确诊需要特殊的检查技术,即便是发达国家,每年因肺栓塞死亡的人口超过29万。下肢深静脉血栓是造成肺栓塞的常见血栓来源部位,常常发生于创伤/骨折、外科手术后、脑卒中、吸烟、长期制动、高龄、肥胖等具备以上危险因素的人群,脱落的血栓游行至肺动脉造成栓塞的同时严重影响了肺的气体血液交换,导致低氧血症,亦使肺动脉的血循环障碍,严重者发生低血压,甚至造成晕厥,崔旭辉主任团队及时洞察病情,实施就治,利用下腔静脉滤器这把小“伞”,为患者的生命撑起了一片天。
供稿:心血管内科九病区 崔旭辉 杨志康
供图:心血管内科九病区 孟庆槐
编辑:宣传部 杜锦臻
校对:宣传部 李钊


