为进一步推动中国心血管疾病防治工作,落实“健康中国2030”和《健康中国行动(2019-2030)》对心血管疾病的防治要求,保障每个中国人的心血管健康,由中国心血管健康联盟、苏州工业园区心血管健康研究所、苏州工业园区心馨心血管健康基金会和中国县域院长联盟主办的2021中国心血管健康大会于2021年12月17日-19日在苏州国际博览中心隆重召开。会议上,延安大学咸阳医院胸痛中心获得中国胸痛中心再认证审核授牌(免现场审核),是对延安大学咸阳医院胸痛中心工作和区域引领作用充分肯定。
2016年我院开始筹备胸痛中心建设,经过不断探索及改进,于2017年4月成功通过国家胸痛中心认证,成为省内第三家、咸阳市首家通过国家标准版胸痛中心。我院胸痛中心建设5年来,牢记“时间就是生命、时间就是心肌”,规范持续优化急性胸痛救治流程,严格执行时间管理,救治胸痛患者近万例,平均D-W时间缩短至60min以内,最短D-W时间17分钟。延安大学咸阳医院急性胸痛(心肌梗塞、主动脉夹层动脉、肺栓塞等)救治在省内处于领先地位,带动、促进咸阳市急性胸痛救治水平的发展。
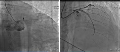
术前CAG示:左主干闭塞 IABP支持下开通闭塞血管
在发展自身的同时,加强与区域协同救治,与区域十余家基层医院建立协作关系,帮扶指导多家基层医院创建基层版胸痛中心,显著提高了急性心肌梗死患者救治成功率、远期预后和生活质量,大幅度节约了社会医疗资源,赢得患者和社会的普遍赞誉,于2020年获得国家标准化胸痛中心卓越中心。
术前IVUS示最小管腔面积2.00mm2;术后IVUS示最小支架面积7.61mm2
术前CAG示:LCX中段80%狭窄 ;OCT示纤维斑块,最小管腔面积3.1mm2
术后OCT示:支架贴壁及膨胀良好,无夹层及血肿
经过5年的完善和提升,延安大学咸阳医院胸痛中心各项指标达到国内先进水平,成为省内首批通过国家胸痛中心再认证的单位,是对我院胸痛中心在技术力量、质量标准、救治能力等的再次肯定。延安大学咸阳医院心血管病院年完成介入诊疗10000台次以上,冠脉介入治疗3000例次以上,专用介入手术室3间,配备有血管内超声(IVUS)、冠脉内光学相干成像(OCT)、FFR、RFR等精准化治疗设备,极大的改善了冠脉介入治疗的远期预后。此次获得国家胸痛中心再认证授牌,将促进延安大学咸阳医院胸痛救治、介入诊疗技术水平的进一步提高,更好的为广大人民服务,助力健康中国梦!
供稿供图:CCU 李新国
编辑:宣传部 杜锦臻
校对:宣传部 李钊


