近日我院超声科介入团队成功开展了射频消融术联合泡沫硬化剂微创治疗下肢静脉曲张,填补了我院空白,同时也标志着我院超声介入微创治疗水平又迈上一个新台阶。
59岁胡阿姨感觉左下肢胀痛数年余,时有疼痛感,也有些许心理负担,在儿子的关心和强烈建议下来我院疼痛科就诊,王永主任仔细询问了胡阿姨的症状,做了查体及相关检查,根据患者情况为患者推荐了超微创治疗。
患者来到超声科,科主任王英莉及超声介入团队为患者做了详细的术前超声评估:术前超声评估:左侧大隐静脉内径增宽伴静脉瓣功能不全(重度);左侧大腿远段皮下浅静脉迂曲扩张,为大隐静脉属支,左小腿内侧及前方皮下浅静脉迂曲扩张,为大隐、小隐静脉属支;左小腿穿静脉内径增宽。CEAP分级:C4a。并制定适合术式:超声引导下左侧大隐静脉腔内射频闭合术+左小腿曲张浅静脉腔内泡沫硬化剂注射治疗。同时向患者及家属介绍了微创手术的优势,并对他们的疑虑做了耐心的解答,患者欣然接受治疗建议。超声介入团队术前多次讨论、详细部署术前准备。
治疗经过
左侧大隐静脉主干处理:
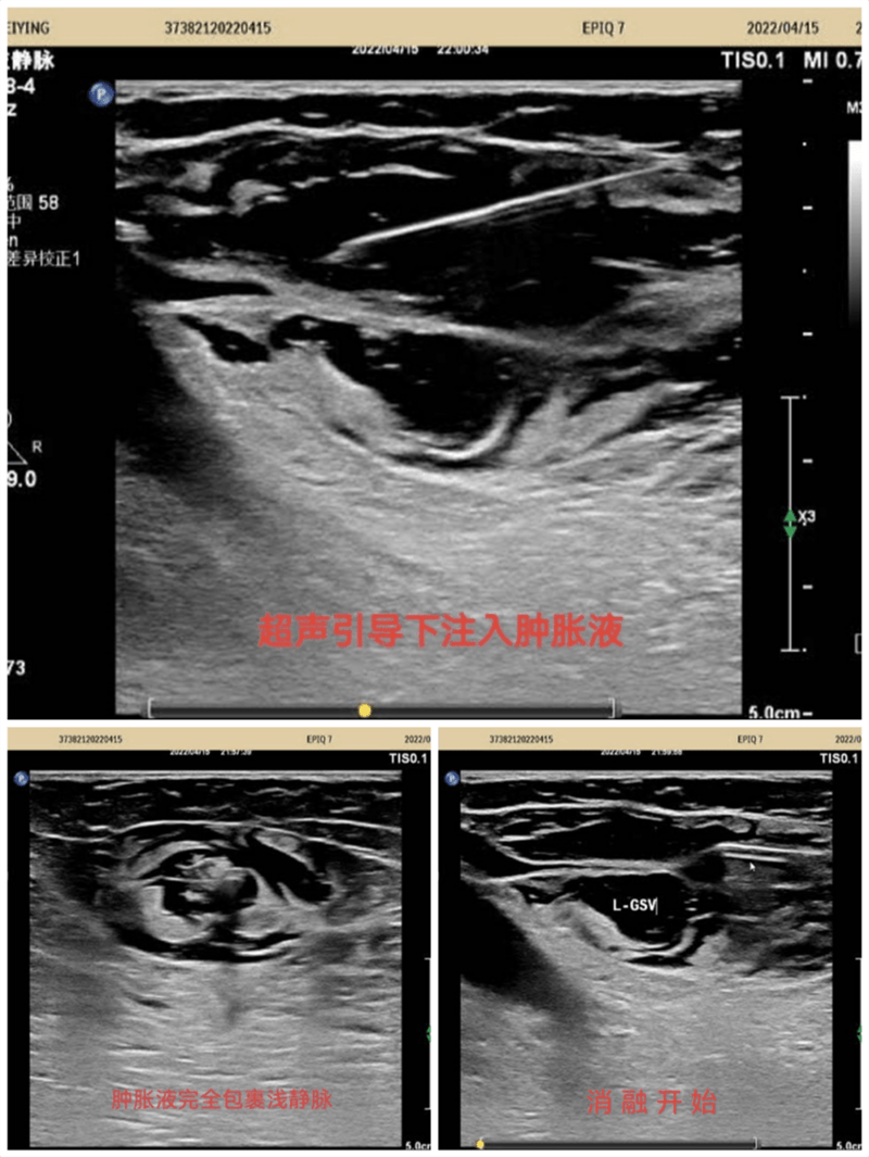
超声引导下标记大隐静脉及曲张静脉部位走行,体表投影部位标记,在彩色多普勒超声静脉模式引导下实时监测,确定穿刺点,局麻下穿刺进针,确定穿刺成功后置入导丝,拔除穿刺针并沿导丝置入7F鞘管,拔出导丝,沿鞘管将消融电极置入要消融的大隐静脉主干内,注入肿胀麻醉液,确认大隐脉闭合,开启移动射频消融导管,消融完毕后拔除鞘管及射频导管再次超声探查隐股静脉交界处,确定无血栓形成。
左小腿迂曲扩张浅静脉处理:
聚桂醇注射液与空气混合配制成泡沫状,选择适当位置进针,将适量泡沫注入曲张静脉,对注射区域进行按摩,使泡沫在曲张静脉内均匀分布。木毕,进行加压包扎,穿弹力袜,嘱咐患者下地活动半小时,留观。最终,在团队的共同努力下手术顺利完成,患者自己下了手术台,对我院医师的精湛技术十分敬佩,原本悬着的心顿时放松下来,她一边小心地在手术室里迈着步子,一边对手术医师表示感谢。
术后建议:
1、注意适量活动预防血栓形成。
2、敷料偏心性加压48小时
3、弹力袜辅助加压治疗1-2个月
4、避免重体力活动。
5、不适随诊。6、按预约时间定期复查。
超微创治疗有什么优势呢?
1.射频治疗仅需要极小的穿刺口(约 2 毫米),病变静脉在原位关闭,不需要剥除,避免剥脱术的疼痛;
2、几乎没有手术瘢痕或瘀血等情况,美容效果显著;
3、治疗中及治疗后仅有极轻微疼痛;
4、手术后立即可以下地活动,并迅速恢复正常活动;
5、许多病人在术后即能体会到原有症状减轻,包括沉重感,疲劳感等。在 1-2 周后,症状改善会更加显著。
什么样的静脉曲张患者适合射频闭合术呢?
下肢静脉曲张患者通常会有以下症状:
1、毛细血管扩张或网状静脉扩张;静脉曲张(>2mm, <15mm)
2、伴有水肿
3、皮肤色素沉着、湿疹、红斑
4、皮肤脂质硬化或白色萎缩
5、已愈合的溃疡
6、活动性溃疡
伴有以上症状中的2-6项患者,且存在的浅静脉瓣膜返流,返流时间大于0.5S,均可采用射频闭合术治疗。
“长路漫漫,行则将至,行而不辍,未来可期”,超声科紧跟前沿技术,优化诊疗模式,努力落实医院的“四化目标”!力争建立一个在全市乃至区域拥有优势的品牌专业,为广大患者提供更优质、精准的服务,造福一方百姓。
近年来,在超声科主任王英莉的带领下不断开展新技术新业务,加强亚专业发展,重视学科建设。目前科室开展的项目如下:
1、经胸超声心动图;经食道超声检查技术(包括经食道三维超声技术、无痛下经食道超声检查);经胸及经食管超声心动图术中监测先天性心脏病及结构性心脏病介入手术;经食管超声心动图外科术中监测;心肌灌注超声检测;心腔声学造影。
2、腹部、四肢血管、浅表器官、肌肉骨骼神经检查;实体器官超声造影;胃肠超声造影;颈部血管超声、脑颈一体化检查及超声颈动脉血管造影等。经颅多普勒超声;经颅多普勒超声发泡试验;经颅多普勒超声动脉栓子监测;重症床旁超声、术中超声监测等。
3、产前分级筛查;胎儿心脏筛查;胎儿神经系统筛查;腔内超声;输卵管超声造影;盆底三维超声技术;小儿颅脑超声;小儿消化道超声;小儿髋关节超声等。
4、超声介入穿刺活检:包括乳腺、肝脏、肾脏、胰腺、脾脏、浅表淋巴结、胸膜、腹膜、腹膜后肿瘤及肺周结节粗针穿刺组织学活检,如肝活检诊断肝炎、肝癌;肾穿刺活检取得病理分型以对症治疗;甲状腺细针穿刺抽吸细胞学检查等。
超声介入置管:胸腔、腹腔、心包积液穿刺置管引流;肝脓肿、肾脓肿、盆腔脓肿穿刺置管引流;胆囊、胆管、肾盂穿刺置管引流等。
超声介入硬化剂治疗:肝囊肿、肾囊肿、卵巢囊肿、甲状腺、乳腺囊肿、腱鞘囊肿、下肢静脉曲张、腘窝囊肿;假性动脉瘤硬化;血管瘤硬化等。
超声介入消融:包括甲状腺结节、乳腺结节、肝肿瘤消融治疗,下肢静脉曲张射频消融及泡沫硬化治疗等。
科室联系及预约咨询电话
超声科(内科楼):029-33773768(24小时)
超声科(心脏楼):029-33784352
超声科(外科楼):029-33785100
超声科(脑科楼):029-33786004
介入超声室:029-33822506(24小时)
供稿供图:超声科 赵超占 郑德良 王英莉
审核:刘连锋
编辑:宣传部 陈蕾
校对:宣传部 刘晓艳


