近日,张大伯因反复心绞痛症状就诊于我院心九科,但是病情危重,延安大学咸阳医院医院心血管内科九病区崔旭辉主任团队成功把患者生命给“抢”了回来。
到底是怎么回事?
危 机
63岁的张大伯因严重心绞痛住院,心电图可见明显明显心肌缺血。主治医师黄永涛向患者讲明病情后,征得患者和家属同意,行冠脉造影检查。真是不做不知道,一做吓一跳。
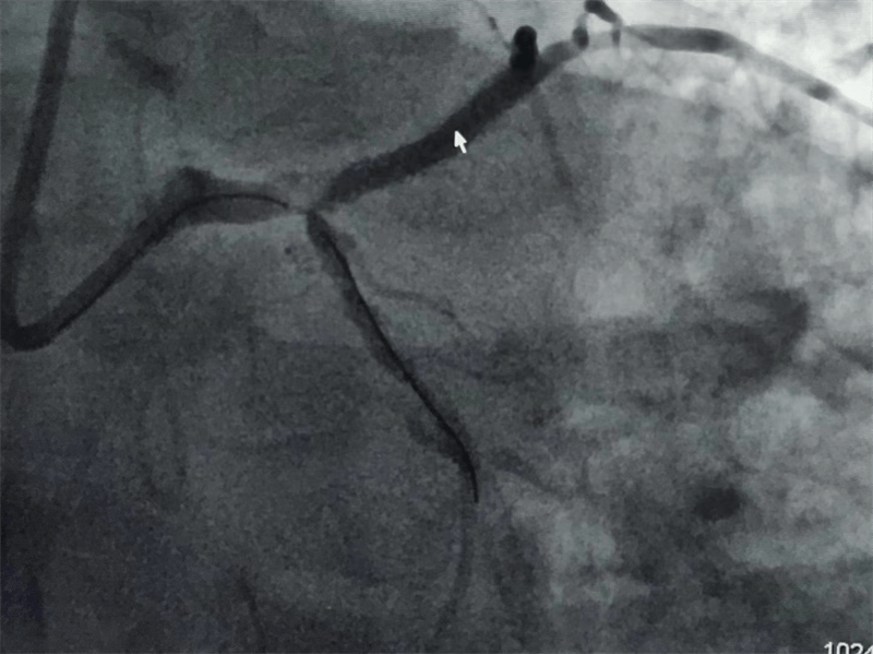
冠脉造影结果提示:左主干末端及前降支开口处99%狭窄,回旋支开口处80-90%狭窄,中段支架内100%闭塞。看到造影结果时,在场医护人员无不惊出一身冷汗:左主干病变“细”如发丝——生死一线牵!患者拒绝搭桥手术,所以选择介入处理该病变。
患者在冠脉造影检查术中,感到胸闷、胸痛发作,血压下降、心率减慢,我们立即对左主干狭窄段进行球囊扩张后症状好转,生命体征逐渐平稳。
与患者家属沟通后,其女儿犹豫不决、忧心忡忡,经过崔主任认真分析病情、充分沟通,征得患者及家属同意后,为安全、精准处理病变,选择进行血管内超声检查,经血管内超声检查提示左主干至前降支近段纤维斑块,球囊扩张后面积3.97mm2,斑块负荷70%,回旋支近段中度狭窄,斑块负荷较轻。
虑患者病情危重,随时有可能发生心源性休克、室速、室颤、心脏骤停等风险。为了手术安全,我们备用了临时起搏器、IABP、除颤仪等抢救设备。
精准治疗
挽救患者生命,挽救一个家庭的希望!当导丝通过病变区域时,大家的心都紧张了起来,经过精细、快速的操作,手术顺利完成,原来像头发丝一样粗细的“血路”,终于恢复了正常!
有惊无险!
我们结合患者病变特点,对回旋支支架内闭塞病变处药物球囊治疗,左主干病变植入1枚支架,术后,造影显示左主干病变处支架植入状态良好,血管内超声显示支架贴壁良好,患者血压、心率稳定,症状完全缓解,并安全返回重症监护室进一步治疗,术后张大伯无明显不适,生命体征稳定,病情明显好转。
9月13日中午,张大伯康复出院,他和女儿送来锦旗及鲜花以表感谢。他女儿说:多亏心九科崔主任团队的通力合作,及时有效救治,才让父亲转危为安,对你们的技术点赞,谢谢你们!大家脸上都充满了笑容!
供稿供图:心血管内科九病区 崔旭辉 黄永涛
审核:吴栋梁
编辑:宣传部 陈蕾
校对:宣传部 刘晓艳


