患者68岁,男性,2011年因严重三支病变行外科冠状动脉搭桥手术,近1个月来患者因稍微活动即感胸闷、胸痛,在家用药后效果不佳入住心血管内科二病区,心血管内科二病区赵娟副主任立即组织全科进行讨论,杨鹏主治医师认真查询患者既往住院所有资料,患者系冠脉搭桥术后,目前心绞痛发作频繁,随着冠状动脉桥血管受到内膜增生、血栓形成以及粥样硬化等因素的影响,桥血管可能会出现狭窄甚至闭塞,导致心肌缺血症状出现。同时与心血管病院吴栋梁院长、CCU李新国副主任、CT室张媛责任总反复多次对冠脉CTA进行研读——考虑桥血管闭塞可能,与患者家属进行反复沟通,决定为患者进行冠状动脉造影术+桥血管造影术,进一步精准评估本体血管和桥血管情况,根据情况对本体血管进行介入手术治疗。
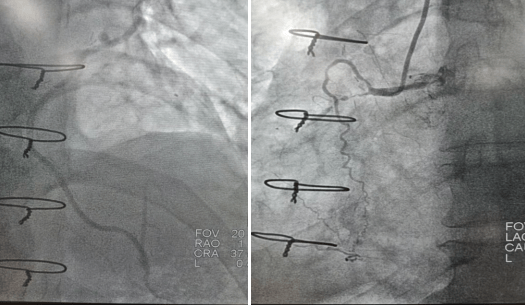
2022年9月16日行冠脉造影术,造影结果示:左主干末端99%狭窄,LAD近段100%闭塞,LCX开口及近段95%狭窄,乳内动脉-左前降支血管通畅,RCA近段100%闭塞,大隐静脉桥血管未见,考虑闭塞。
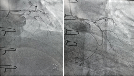
心血管病院吴栋梁院长、CCU李新国副主任、心血管内科二病区赵娟副主任、王端乐主治医师、宋睿主治医师介入团队造影后认真研究患者的病情和影像资料,决定开通闭塞长达11年的右冠状动脉,精确选择器械,选择同轴性及支撑力均好的指引导管,术中选用微导管辅助,软、硬导丝结合等技术,聚精会神、挥汗如雨,终于历经3小时的努力,成功前向开通右冠状动脉,精准选择由远及近“铺设”通过性较好、长度合适的支架 。
(术前术后对比)
术后症状明显改善,活动后无胸闷、胸痛,明显提高患者生活质量,提高患者生存率,使患者绝地逢生。
延安大学咸阳医院心血管病院心血管内科二病区始终秉持创新理念,不断开展新技术,目前在处理复杂冠脉病变方面形成了系列的治疗方法,积极开展血管内超声、药物涂层球囊、IABP支持下PCI、冠脉内旋磨、OCT等新技术,显著改善了高危、高龄、复杂、重症心脏病患者预后,更好地为心血管患者的健康保驾护航。
延安大学咸阳医院心血管内科二病区竭诚为您服务,电话029-33783302。
供稿供图:心血管内科二病区 王端乐 赵娟
审核:吴栋梁
编辑:宣传部 陈蕾
校对:宣传部 刘晓艳


