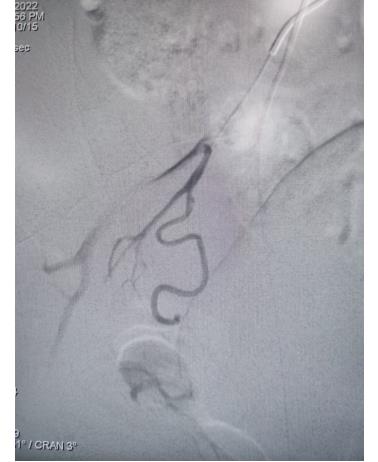
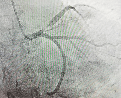
51岁的郭女士,因反复胸痛3天,加重2小时入院,入院后胸痛症状反复发作,检查心电图提示前壁导联ST段明显压低,在此危急时刻心九科值班医生陶医生立即启动导管室,心九科介入团队行冠脉造影提示患者前降支近段99%狭窄,患者病情危在旦夕,遂立即行支架植入术解除冠脉狭窄,患者生命得以及时救治。
冠脉手术前
冠脉手术后
但患者还有子宫肌瘤长年不规则出血,支架术后需要抗凝、抗血小板聚集治疗,这样加重了子宫异常出血;半年前患者因长期子宫出血不止导致重度贫血进行输血治疗,为此患者痛苦不堪;经过详细检查患者合并有子宫肌瘤,经过崔旭辉主任认真研判,考虑绝经期女性,该患者目前最佳选择是行子宫动脉栓塞术。
子宫动脉栓塞术属于血管介入性治疗,方法是于股动脉穿刺进针插入导管,在X射线造影下定位进入两侧子宫动脉,注入栓塞剂完全栓塞子宫动脉,从而达到止血或让子宫肌瘤和病灶缺血坏死的目的;2022年12月6日,在崔旭辉主任、孟庆槐副主任医师、马力主治医师等我院介入团队协作下,成功为患者进行了双侧子宫动脉栓塞术,术后患者子宫异常出血停止,效果立竿见影,患者病情恢复良好。
左侧子宫动脉栓塞前后对照
右侧子宫动脉栓塞前后对照
子宫动脉栓塞术治疗子宫肌瘤的优点①创伤小。②疗效确切,可明显改善临床症状。③术后并发症发生率低。④保留子宫和卵巢的生理功能,提高子宫肌瘤患者的生活质量。⑤住院时间短、恢复快。
类似于郭女士这样患有心肺疾病合并子宫出血问题等不适宜外科手术治疗者,药物治疗无效或不能耐受副反应,暂不接受外科手术切除者,选择子宫动脉栓塞是最佳选择。
科室地址:心血管病院14层
科室电话:029-33774056
供稿供图:心血管内科九病区 孟庆槐 崔旭辉
审核:吴栋梁
编辑:宣传部 杜锦臻
校对:宣传部 刘晓艳


