国家先后发布优化落实疫情防控后,我国疫情防控进入新阶段,大量的新冠患者的增加,医务人员大批感染,延安大学心脏大血管外科任然坚守岗位,生命至上,勇做护心人。
提起拆弹专家,我们映入脑链的就是全副武装,把头脚包的严严实实,仔细的分离着电线,小心翼翼减掉一根,然后擦掉满头大汗的说:成功了。其实在我们心外科,也有这样一批拆弹专家,他们兢兢业业,也在努力着拆除每一个炸弹--主动脉夹层动脉瘤,用心守护者每位患者的健康。
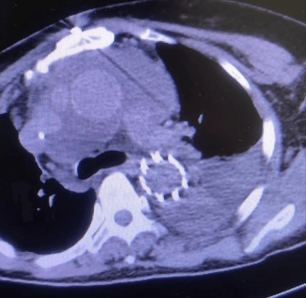
近日,我院急诊科会诊来了一位60岁女性患者,患者诉胸背部疼痛4小时余,疼痛剧烈,不能忍受,来院时血压260/135mmHg,于当地县医院行大血管CTA检查,提示主动脉夹层。新型冠状病毒感染未完全康复的值班医生一路小跑都气喘吁吁前往急诊科会诊,一边咳嗽一边问诊,由于患者病情危急,请示心外科武小刚科主任后分析:患者系主动脉夹层动脉瘤(A型),降主动脉近段可见明显破口,升主动脉明显增宽,根据超声提示,目前考虑升主动脉已有新的破口,需急诊行外科手术治疗。与家属沟通后积极降压、止痛、备血等,进入夹层绿色通道,经过快速的术前准备,患者及早进入手术室,术中仔细剥离血管及周围组织,小心翼翼的分离出受累血管,严格控制血压,避免因血压过高导致血管破裂,建立体外循环术中探查升主动脉可见1cm破口,验证了术前的判断;剪除掉破损血管,植入人工血管,仔细吻合每一根血管,既不能让吻合口过小导致血液供应不足,也不能让吻合口出血,一台“升主动脉置换+全弓置换+象鼻术”需要经过长达6~8小时高精度操作,对医生的耐力和精神都是一种考验,经过6小时的手术,顺利拆除“炸弹”。主刀医师从手术室出来,已经是凌晨2点钟,脱掉早已被汗水浸透的手术衣,瘫软的坐在椅子上,但患者转危为安,再大的疲惫都是值得的。
手术中
置换的四分支人工血管
经过术后两周的康复,患者顺利出院,惊奇的是:患者出院前尽然没有感染新冠,因为医务人员已有80%以上都感染过了,凸显了我科专业的新冠防控能力;“阳过、阳康”前仆后继,勇做护心人,彰显了心外人的担当和使命,我科感染后的医生拖着39°C温度上岗上线,勇于担当,站好每一班岗。多日来,坚守在岗位上的护士姑娘们,顾不上吃饭上厕所,最大程度地把所有的时间用于救治患者,新患者接诊、病房消杀、心电监测、输液……在人员紧张的情况下,他们仿佛变成了钢铁战士,用柔弱的臂膀,撑起生命的坚强,全力保障疫情期间的医疗安全。
术后复查恢复良好
主动脉夹层又称主动脉夹层动脉瘤,是一种严重的心血管疾病,是由主动脉管壁内膜出现破口,血液由此进入动脉壁中层,形成夹层血肿,并逐渐延伸剥离主动脉内膜和中膜引起的。分为DeBakey Ⅰ、Ⅱ、Ⅲ型,该类疾病病情危重,进展较快,未手术死亡风险较高,一般情况DeBakey Ⅰ、Ⅱ型我们选择外科手术治疗,DeBakey Ⅲ型可选择腹膜支架植入。疫情当下,阻碍不了医务人员的担当和责任,用心守护广大人民的身体健康,我们义不容辞。新冠无情,人有情,让我们一起战胜疫情,为人类的健康努力奋斗。
供图供稿:心脏大血管外科 陈卫国、武小刚
审核:吴栋梁
编辑:宣传部 陈蕾
校对:宣传部 蒋楠


