一面锦旗承载一份肯定,一份荣耀彰显医者仁心。近日,我院重症医学科收到患者家属送来的锦旗,锦旗上十四个金色大字诉说着患者家属对重症医护人员高尚医德精湛医术的高度肯定和感激。
近期,患者张爷爷因重症肺炎入住我院重症医学科。入院时,老人的病情已经进展为严重呼吸衰竭合并双侧胸腔积液,住院期间老人因对病痛的恐惧和对医护工作的不理解而异常躁动不安,对诊疗及护理工作配合度极低,导致早期治疗效果并不理想。重症医学科宋海刚主任带领医护团队组织了科室疑难病例讨论、全院多学科会诊,张燕护士长、主管医生屈曼曼细致地观察病情,迅速梳理病情,调整诊疗方案,给予气管插管、机械通气、俯卧位通气、抑制炎症反应等综合治疗。
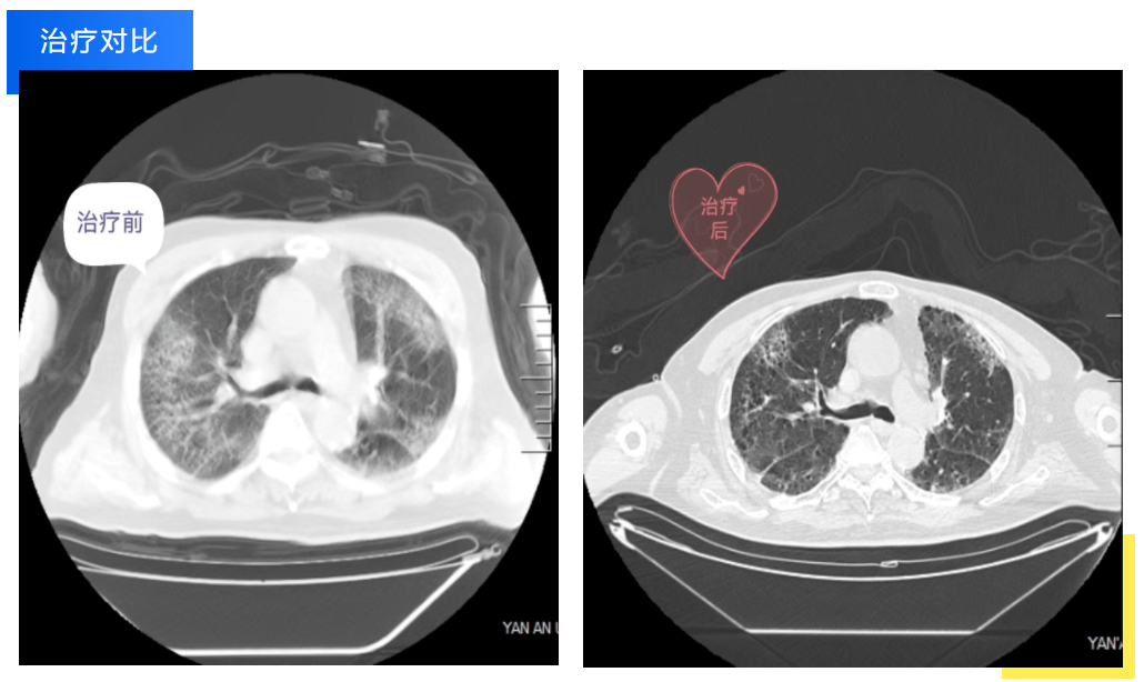
经过数日的治疗和精心护理,老人呼吸衰竭的指标较前有了明显的改善,氧合指数也从一开始的小于100mmHg逐渐提升到300mmHg以上,老人也感受到了医护人员的良苦用心,从开始的抗拒到逐渐主动配合诊疗工作,目前已顺利转入下级医院继续康复。
老人转危为安,隔日他的儿女特制锦旗送到重症医学科说到:“谢谢你们,是你们的坚持和付出才让我们这个家依然团圆,感谢你们!”
重症医学科里,让我们感动的常常不是一场场惊心动魄的抢救,而是呼吸机上逐渐改善的呼吸力学、监护仪里平稳的血流动力学和逐渐撤离的微量泵,那都是危重患者用生命在诉说——“我们在好转”。
一面面锦旗时刻鞭策激励着全体医护人员,重症医学科将这面锦旗背后的感动化作今后工作的动力,本着生命至上、分秒必争,不抛弃不放弃的职业信念,竭力为每一位患者提供优质、精湛、高效的医疗服务。


