为院庆七十周年献礼
普通外科一病区成功为患者实施罕见巨大肝包虫摘除手术
甘肃患者,男,54岁,在当地医院发现肝脏巨大占位性病变无法处理,慕名前来我院普通外科一病区治疗。

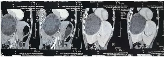
术前CT和三维重建
患者入科,姚春和主任与科室医师通过细致的诊查,即确诊该患者系“肝脏巨大肝包虫”。此病例较为罕见,手术难度大。经严密术前讨论,姚主任操刀,于4月16日在全麻下行巨大肝包虫外囊摘除术。术中严格无菌保护周围组织,细致剥离血管,手术历经4小时,成功摘除大小约20*30cm包虫外囊。此例手术的完成标志着我院肝胆外科在肝脏手术的又一巨大突破。

手术中 手术取出外囊 囊肿内容物
值此延安大学咸阳医院七十周年院庆来临之际,普通外科一病区用高超的手术技能、优良的团队协作,为我院七十周年院庆献礼,为医院外科再添一笔绚丽重彩。
科室地址:延安大学咸阳医院外科大楼14层
科室电话:029——33783995
供稿:普外一科 姚春和 编辑:外科综合办 田梦园


