欢迎访问延安大学咸阳医院员工版网站!
当前时间:
告别“金属心” 谱写新篇章
发表时间:【2019-04-25】
字体大小:【放大】 【正常】 【缩小
浏览次数:【6432】次

——记我院首例生物可吸收支架植入术

    2019年4月25日是一个特殊的日子,在迎接延安大学咸阳医院建院70周年庆祝大会的喜庆时刻,延安大学咸阳医院冠脉介入团队完成了咸阳市首例冠状动脉生物可吸收支架植入术。该例手术的成功实施填补了咸阳地区相关技术领域的空白,既是给我院70周年院庆的献礼,更是为广大冠心病患者带来了福音。
    4月22日上午,患者王女士因“反复胸痛、胸闷半年”就诊我院,行冠脉造影提示LAD段严重狭窄,经全面评估患者病情,充分结合患者及家属意愿后,今日上午为31岁的王女士成功植入生物可吸收支架一枚,手术过程顺利,术后效果满意。

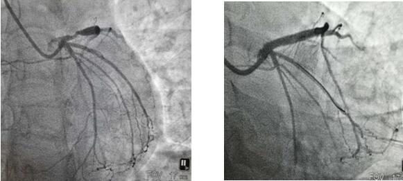
生物可吸收冠状动脉雷帕霉素洗脱药物支架系统

支架植入前                         支架植入后

PCI术中介入团队

    我国目前患心血管疾病的人数近3亿,其中冠心病患者约1100万,而且并且正在逐步年轻化,这个数字在不断增加。随着冠心病不断被人们所了解,临床诊疗技术也不断的发展,心脏支架便应运而生。其原理是通过将支架植入血管发生狭窄或堵塞的部位进行支撑和疏通,从而改善血液流通状况。其发展历程从球囊扩张时代到金属裸支架再到药物洗脱支架。尽管药物洗脱支架发生再狭窄的概率比金属裸支架大幅降低,但由于其金属材料的特性依然无法改变长期留存于人体内带来的诸多弊端,比如晚期血栓问题,支架内再狭窄,不便于进行核磁共振检查等。在此背景下,生物可吸收支架研发问世。这种支架和药物洗脱支架类似,上面包裹着抗炎、抗增生的药物,但是用可以被人体吸收的生物材料聚乳酸作为基础,在植入血管后3后进入康复期,支架基本完全降解消失,最终被人体完全吸收,血管再造逐渐完成,新发生的支架血栓等临床时间几率很低,临床效果趋于稳定,且随着支架对血管禁锢的消失,血管的弹性舒缩功能得到恢复,使患者获得比金属药物支架更多的远期获益。
    生物可吸收支架是继金属支架“血管再通”心血管治疗领域的又一次革命,有着广泛的应用前景,为患者与医生提供更加卓越的治疗方案,患者将得到更大的全寿命周期获益,我们将以此为开端,努力创新,精益求精,继续为人民群众的健康保驾护航。

心血管内科六病区 赵海龙