反复复发的盆腔软组织肉瘤,被多模态放射治疗“降服”了
自1899年,运用放射技术治愈世界首例病人,此后放射治疗技术进展讯猛、日星月异,现已成为治疗恶性肿瘤的主要手段之一,目前,45%的恶性肿瘤可以治愈,其中,18%为放射治疗治愈,为肿瘤病人带来了新的希望之“光”。
近日我们随访了一位曾被软组织肉瘤折磨近2年几近绝望的患者,知悉她自从放疗后3年多了,身体状况一直平稳,我们无比欣慰。这是一位38岁女性患者,因为右腹部疼痛就诊,被诊断出盆腔软组织肉瘤,从此就开始了反复手术+化疗的日子。前后经历了三次手术+6周期化疗,最后还是再次复发,在几近绝望的时候,抱着试试看的想法,于2018年3月来到延安大学咸阳医院放疗科就诊。针对患者肿瘤多次手术后复发而且比较大,盆腔肠道副反应大等问题,经科室主任尹信带领全科医疗技术人员仔细研究病情以后,最终决定运用我们探索出的多模态放疗方案进行根治性放疗。多模态放疗方案就是将现有的先进放疗技术适形调强放疗和立体定向放疗进行科学合理的联合应用,以及分阶段放疗等系列设计。最大限度杀伤肿瘤,和保护周围肠道组织。3年后影像资料对比,肿瘤得到了彻底控制,疯涨的肿瘤被“降服”了,我们这位肿瘤患者也终于获得了新生,过上了平稳的生活。
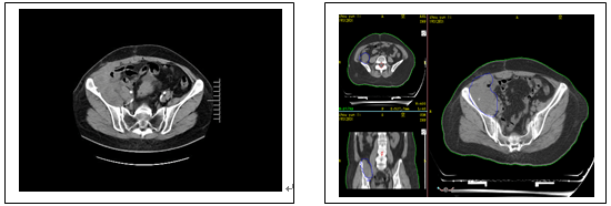
下图为放疗前病变及放疗靶区
近日我们随访了一位曾被软组织肉瘤折磨近2年几近绝望的患者,知悉她自从放疗后3年多了,身体状况一直平稳,我们无比欣慰。这是一位38岁女性患者,因为右腹部疼痛就诊,被诊断出盆腔软组织肉瘤,从此就开始了反复手术+化疗的日子。前后经历了三次手术+6周期化疗,最后还是再次复发,在几近绝望的时候,抱着试试看的想法,于2018年3月来到延安大学咸阳医院放疗科就诊。针对患者肿瘤多次手术后复发而且比较大,盆腔肠道副反应大等问题,经科室主任尹信带领全科医疗技术人员仔细研究病情以后,最终决定运用我们探索出的多模态放疗方案进行根治性放疗。多模态放疗方案就是将现有的先进放疗技术适形调强放疗和立体定向放疗进行科学合理的联合应用,以及分阶段放疗等系列设计。最大限度杀伤肿瘤,和保护周围肠道组织。3年后影像资料对比,肿瘤得到了彻底控制,疯涨的肿瘤被“降服”了,我们这位肿瘤患者也终于获得了新生,过上了平稳的生活。
下图为放疗前病变及放疗靶区
下图为2021年8月复查MR
放疗原理是采用高能射线杀灭肿瘤细胞,据统计现在超过一半的肿瘤患者需要接受放疗,已有数以万计的肿瘤患者被治愈,为我们肿瘤患者带来了福音,你再也不用为因年龄大而担心手术治疗创伤大、恢复慢而愁眉不展,放疗就是你的新选择。选择放疗不开刀、不流血,高能量射线刀就可穿透正常组织,直接瞄准“罪犯”(即肿瘤组织),就地处决“罪犯”(即利用高能射线杀灭肿瘤),而不损伤周围正常组织,我们只需定期复查就好。
聪明的你肯定发现了问题的关键,对,就是精准治疗。那就不用担心了,我们延安大学咸阳医院放疗科在全省最先配置了美国进口高端智能化直线加速器“瓦里安Vitalbeam”,德国西门子大孔径定位CT,咸阳地区唯一一台全身伽玛刀,三维计划后装近距离放疗系统等一批先进设备。有了上述先进设备的加持,可以开展非常精准的放射治疗,从而提高肿瘤控制率,降低放疗反应。目前开展的全身肿瘤放疗技术: 三维适形放疗(3D-CRT),调强放疗(IMRT),容积旋转调强放疗(VMAT),立体定向放疗(SBRT),后装近距离放疗。历年西北地区慕名而来的病人数不胜数,病情各种各样,堪称经验丰富;另外,西安唐都医院放疗科梁军主任及陕西省肿瘤医院放疗科杨怡萍主任作为客座教授,定期来院指导,为我们每一位病人的诊疗计划保驾护航。
供稿:放疗科 尹信 刘小花
编辑:宣传部 杜锦臻
校对:宣传部 李钊


