近日,我院肿瘤/胸外科团队成功为一位72岁的患者切除困扰他长达10余年的巨大腹膜后肿瘤。
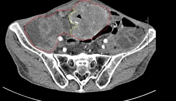
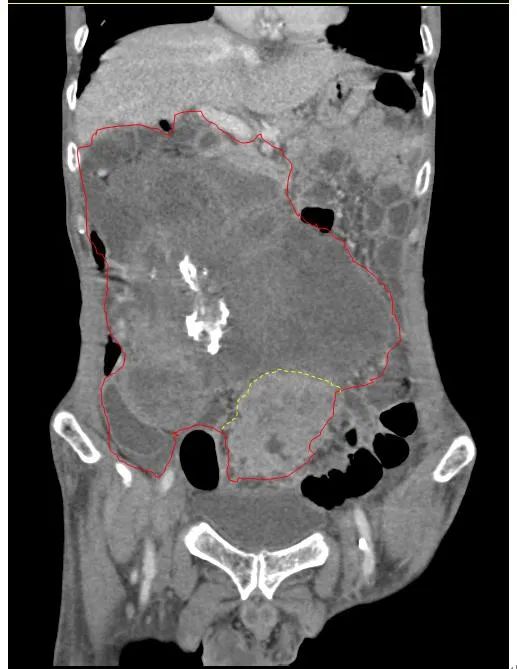
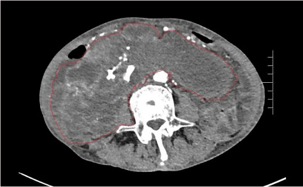
患者王大爷,男,72岁,发现腹腔肿物10余年,近两年来患者双下肢乏力、贫血,依靠间断输血维持着正常生活,出现头昏,行动困难,腹部疼痛及便血慕名来我院就诊。入院后查体评估患者年龄大,体质差,严重贫血,肺部感染及肠梗阻征象,腹部增强CT检查提示腹膜后巨大肿瘤,长径超过30厘米,占据大部分腹腔,并可能存在双原发肿瘤。
李伟副主任立即组织全院多学科(MDT)会诊,各相关学科专家针对患者的营养状况、肺部感染及肠梗阻等情况制定了详细的治疗方案和详尽的临床预案,按照方案给予积极治疗,做好术前准备。
苗满园肿瘤外科团队在麻醉科/手术室的紧密配合下为该患者进行手术,术中发现肿瘤巨大,几乎占据了整个腹腔,从左侧向右腹腔延伸,向上将肝、肾挤向膈下,向左将胃及小肠挤向左上腹,向下深达盆腔内,包绕下腔静脉、肠系膜上动脉等大血管及输尿管,回盲部及回肠也受侵犯。手术难度巨大,风险极高。团队凭借着高超的手术技能和精准的手术预案沉着应对,迎难而上,应用高频电刀、超声刀、切割缝合器等先进设备,耗时近5小时为患者切除了巨大腹腔肿瘤,并联合右半结肠切除,术中出血仅50ml。术后病理为腹膜后巨大平滑肌瘤+回肠腺癌。
听到手术成功的消息,在外面焦急等待的家属终于放下了担心,露出了灿烂的笑容,王大爷的儿子激动的拉着苗主任的手感谢道:“您辛苦了!谢谢!谢谢!是您精湛的医术,给了我父亲延续生命的希望呀!”
术后护理成为能否顺利康复的最终关卡。根据王大爷术后情况,医生与护理人员不断调整治疗方案并加以精心护理,从胃肠道手术后的营养支持,卧床患者的血栓预防,到预防肺部感染等问题,通过精细化、个体化术后护理,取得了良好的效果,为患者能够顺利出院提供了保障。此次手术的成功,展现了我院肿瘤/胸外科医护团队高超的技术水平和雄厚的综合实力,不仅延长了患者的生命,也提高了患者的生活质量,为高龄患者手术积累了宝贵的经验。
供稿:肿瘤胸外科 王海珠 韩 芳
供图:肿瘤胸外科 冯 涛
审核:姚春和
编辑:宣传部 陈蕾
校对:宣传部 刘晓艳


