清晨,81岁的郭奶奶在家中突然晕倒。急救车呼啸而至,将她紧急送往我院急诊科。监护仪上不断跳动的数字,让所有人的心都揪紧了——血氧饱和度骤降至82%(正常值95%以上),即使给予高流量吸氧,血氧饱和度仍难以维持,呼吸急促微弱,生命垂危。
危急时刻八旬老人遭遇“沉默杀手”
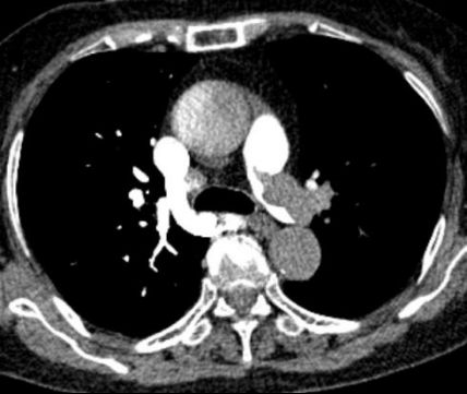
急诊医生快速研判,高度怀疑为急性肺栓塞。肺动脉CTA检查结果证实了判断:双侧肺动脉主干及分支存在多处血栓栓塞,右心室明显扩大——这是急性肺栓塞的典型征象,说明肺动脉堵塞已导致右心室负荷急剧增加,心脏功能受损。
急性肺栓塞,被称为心血管系统的“沉默杀手”。它起病急、进展快、致死率高,对高龄且伴有多种基础疾病的郭奶奶来说,更是一场生死考验。
图:胸部增强CT(CTPA)示右肺动脉主干及分支内可见多发充盈缺损提示肺动脉栓塞
绿色通道多学科团队火速集结
情况危急,急诊科立即启动肺栓塞急救绿色通道。接到通知后,周围血管科副主任马力、主管医生王朋朋与麻醉科、重症医学科专家火速集结,展开紧急会诊。
时间就是生命。经全面评估,团队决定采用经皮肺动脉介入取栓术——这是一种微创介入技术,无需开胸,通过股静脉微小穿刺口,在影像引导下将导管送至肺动脉,直接清除阻塞血管的血栓,能最大程度减轻高龄患者的身体创伤,为抢救赢得宝贵时间。
30分钟生死时速微创取栓打通生命通道
手术室内,数字减影血管造影系统清晰地显示着肺动脉内的血栓分布。周围血管科介入团队凭借娴熟技术,通过微创穿刺精准定位,在实时影像引导下,逐步清除阻塞肺动脉的血栓。每一步操作都关乎生死,每一个动作都考验着术者的经验和手感。“血栓清除完毕,血流恢复通畅!”主刀医生的宣告,让手术室内紧张的气氛瞬间缓解。从穿刺到取栓完成,整个手术仅用时30分钟。术后即刻造影显示,肺动脉血流恢复通畅。随着血流恢复,郭奶奶的血氧饱和度迅速回升至95%,生命体征逐步平稳。
硬核实力30分钟背后的底气
延安大学咸阳医院周围血管科是医院重点建设的特色专科,拥有一支经验丰富、技术扎实的医护团队。科室以微创介入为核心发展方向,在诊治周围血管常见病、多发病的基础上,更在肺动脉栓塞、下肢深静脉血栓等急危重症的规范化诊疗方面积累了丰富经验。近年来,科室在急危重症血管疾病的规范诊治方面形成了鲜明特色。从精准评估到规范化治疗,从康复指导到长期随访,周围血管科用扎实的专业能力,为一位又一位辗转求医的患者稳住病情、重拾信心。
正是这样的实力,让团队在面对81岁高龄、病情凶险的郭奶奶时,能够沉着应对、精准施策,用30分钟为她打通了生命通道。
温情守护医患同心共渡难关
手术室外的走廊里,郭奶奶的女儿双手紧握,一遍遍望向那扇紧闭的门。每隔一会儿,就有护士出来告诉她:“手术很顺利”“主任说血栓快清完了,别担心。”每一句话,都像一颗定心丸。马力主任做完手术后,第一件事就是走到家属面前:“放心吧,手术很成功,血栓全部取出来了。”那一刻,郭奶奶的女儿捂着脸哭了出来。
王朋朋医生更是全程守护,从术前沟通到术后监护,每天几次到床前查看病情,耐心解答家属的每一个问题。老人听力不好,他就凑到耳边一遍遍重复;老人情绪低落,他就多待一会儿聊聊天。
出院那天,郭奶奶的女儿拉着王医生的手说:“你们救的不只是我妈,是我们一家人的天。”
生命至上使命必达
有人说,医者是站在悬崖边的守护者——他们用自己的双手,一次次把即将坠落的人拉回来。那天清晨,当郭奶奶被推进手术室时,守在门外的家属泪流满面;而当她平安出来的那一刻,所有悬着的心终于放下。这背后,是马力主任的果断决策,是王朋朋医生的全程坚守,是介入团队的精湛技艺,是护理人员的彻夜守候。在周围血管科,这样的场景并不罕见。每一天,都有人在与死神赛跑;每一刻,都有人在为生命奔忙。他们没有超能力,却有着超越常人的专业与担当;他们不会魔法,却一次次创造着生命的奇迹。
正是这份坚守,让无数个像郭奶奶一样的患者重获新生;正是这份担当,让无数个家庭重拾欢笑。而这份坚守与担当,正是源于医院始终不变的初心。
以医者仁心护生命无恙
作为始终把“大医精诚,仁爱中国”作为核心文化的三级甲等综合医院,医院始终锚定“医院领导要把职工的利益放在第一位,全院职工要把患者的需求放在第一位”的服务宗旨。正是这份初心,让每一位医者都能心无旁骛地精进技术、守护生命;正是这份理念,让每一个科室都能在关键时刻挺身而出、全力以赴。当前,医院正向着“建设百年名院、打造医界丰碑”的愿景坚定迈进,朝着建设全国知名、省内领先的三级甲等大学附属医院的目标稳步前行。在这条道路上,每一次与死神的赛跑,都是实力的印证;每一个生命的托举,都是初心的回响。
编辑:成淑平
审核:吴栋梁


