“患者运动时突发意识丧失,叹气样呼吸......”近日,一通紧急求救电话打破了延安大学咸阳医院急诊科的平静。一场惊心动魄的生命接力,就此展开。
争分夺秒急诊团队打响第一枪
接到求救电话后,我院急诊医学科医护人员火速出诊,救护车拉响警报,以最快速度抵达现场。此时,56岁的罗先生(化名)已意识丧失,呈叹气样呼吸,急救人员迅速判断:心脏骤停!生命危在旦夕。急救人员立即展开心肺复苏,心电监护仪上跳动的波形让人心头一紧——心室颤动,这是一种足以致命、随时可能夺走患者生命的恶性心律失常。
“准备除颤,非同步直流电除颤200J一次!”随着指令下达,电流穿过胸膛。第一次除颤后,心电波形短暂恢复,随即再次陷入紊乱。“第二次除颤,200J,继续!”两次电击,两次与死神的正面交锋。急救人员在两次除颤间歇持续进行高质量心肺复苏,约6分钟后,罗先生意识逐渐转清,生命体征趋于平稳。第一棒,急诊科团队跑赢了!
作为医院的前沿阵地,延安大学咸阳医院急诊医学科拥有一支训练有素、反应迅速的急救队伍,配备先进的院前急救设备和远程传输系统,能够在第一时间对心脑血管急症实施精准干预。正是这支“急先锋”队伍,为后续救治赢得了宝贵的时间窗口。
无缝衔接胸痛中心绿色通道护航
救护车疾驰而归,车内急救人员一边密切监护生命体征,一边将患者信息同步传输至医院胸痛中心。患者抵达我院时,急诊抢救室内早已严阵以待。心电图、心肌损伤标志物检测迅速完成,结果提示:急性非ST段抬高型心肌梗死。这是一场心脏的“隐形风暴”——心肌持续缺血,随时可能再次诱发室颤,将患者再次推向死亡边缘。
对于急性心梗患者,时间就是心肌,时间就是生命。胸痛中心团队立即启动绿色通道,术前给药一气呵成:抗血小板药物负荷剂量口服、抗凝药物静脉注射......每一个环节都精准高效。
精准介入CCU团队打响心脏保卫战
绿色通道瞬间打通,患者直接送入介入导管室。CCU团队成员早已在导管室内严阵以待,急诊手术即刻展开。与此同时,床旁的术前评估也迅速完成:APACHE II评分10分,GRACE评分231分(高危)——这意味着患者住院期间死亡率风险极高。血氧饱和度85%、合并低钾血症......每一项数据都在提醒医护团队:病情依然凶险,战斗尚未结束,监护不容松懈。
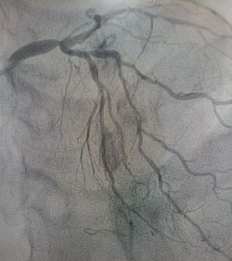
术中造影显示,左主干至前降支近段重度狭窄——这正是导致心脏缺血、诱发室颤的“罪魁祸首”。主动脉球囊反搏植入、球囊扩张、支架植入......介入团队精准操作,一气呵成。堵塞的血管顺利开通,血流重新涌动,这颗一度濒临停跳的心脏终于重获生机。
冠状动脉造影图
术前 (左主干至前降支近段重度狭窄)
术后(左主干至前降支近段原狭窄消失)
然而,手术成功只是第一步。术后,患者被安全送回CCU,CCU团队一刻不敢松懈:抗凝、营养心肌、保护胃黏膜、控制血压......每一项治疗都精心调整,每一个指标都严密监测。医护人员轮班守护,24小时不离视线,严防病情再次反复。从急诊手术到术后监护,CCU团队既是冲锋在前的“突击队”,又是默默坚守的“守门人”。
生命至上每一次救治都是全力以赴
从运动场上的突发倒地,到院前急救的两次电击除颤;从胸痛中心的快速诊断,到CCU团队的精准介入;从手术台上的惊心动魄,到监护室里的日夜守护——这场与死神的赛跑,延安大学咸阳医院赢了。赢在急诊医学科的快速反应,胸痛中心的无缝衔接,多学科的紧密协作,绿色通道的畅通高效,更赢在每一位医护人员对生命的敬畏与坚守。
延安大学咸阳医院胸痛中心是国家标准化胸痛中心,陕西省咸阳市首家通过国家标准版认证的胸痛中心,建立了覆盖院前急救、急诊抢救、介入治疗的全链条快速响应机制。从患者进入医院到血管成功开通,每一次救治都跑赢了国家指南规定的“黄金时间”。环环相扣的流程、多学科协作的模式,让无数急性心梗患者重获生机。
56岁的罗先生,心脏骤停突如其来。危急关头,院前急救、胸痛中心、CCU团队无缝衔接,每一个环节都没有耽误,每一条决策都精准果断。这样的救治,每天都在延安大学咸阳医院温暖上演。如今,罗先生已康复良好,即将出院。守在监护室外多日的家属紧紧握住医护人员的手,连声道谢:“是你们给了他第二次生命,也救了我们这个家!”我们更加坚信:从罗先生的重获新生,到无数个家庭的团圆安康——每一次成功的救治,都是对生命最好的守护。
作为始终把“大医精诚,仁爱中国”作为核心文化的三级甲等综合医院,我院锚定“医院领导要把职工的利益放在第一位,全院职工要把患者的需求放在第一位”的服务宗旨,向着“建设百年名院、打造医界丰碑”的愿景坚定迈进,朝着建设全国知名、省内领先的三级甲等大学附属医院的目标稳步前行。从运动场上的心脏骤停,到监护室里的平稳呼吸,再到一个个家庭重燃的希望——以优质医疗服务守护人民健康,我们一直在路上。
编辑:成淑平
审核:张玉河
下一条信息:没有下一条信息了


